别名:Tyrosine-protein kinase CSK, C-Src kinase, Protein-tyrosine kinase MPK-2, p50CSK, Csk应用:WB,IHC
反应种属:Human, Mouse, Rat
规格:50μl/100μl
| Description |
|---|
| Non-receptor tyrosine-protein kinase that plays an important role in the regulation of cell growth, differentiation, migration and immune response. Phosphorylates tyrosine residues located in the C-terminal tails of Src-family kinases (SFKs) including LCK, SRC, HCK, FYN, LYN or YES1. Upon tail phosphorylation, Src-family members engage in intramolecular interactions between the phosphotyrosine tail and the SH2 domain that result in an inactive conformation. To inhibit SFKs, CSK is recruited to the plasma membrane via binding to transmembrane proteins or adapter proteins located near the plasma membrane. Suppresses signaling by various surface receptors, including T- cell receptor (TCR) and B-cell receptor (BCR) by phosphorylating and maintaining inactive several positive effectors such as FYN or LCK (By similarity). |
| Specification | |
|---|---|
| Aliases | Tyrosine-protein kinase CSK, C-Src kinase, Protein-tyrosine kinase MPK-2, p50CSK, Csk |
| Entrez GeneID | 12988 |
| Swissprot | P41241 |
| WB Predicted band size | 50.7kDa |
| Host/Isotype | Rabbit IgG |
| Storage | Store at 4°C short term. Aliquot and store at -20°C long term. Avoid freeze/thaw cycles. |
| Species Reactivity | Human, Mouse, Rat |
| Immunogen | This Mouse Csk antibody is generated from a rabbit immunized with a KLH conjugated synthetic peptide between 67-101amino acids from the N-terminal region of human Mouse Csk. |
| Application | |
|---|---|
| WB | 1/1000 |
| IHC | 1/100-1/500 |
![]() |
Western blot analysis of lysate from mouse liver tissue lysate, using Mouse Csk Antibody (N-term)(Cat. #P32731). P32731 was diluted at 1:1000. A goat anti-rabbit IgG H&L(HRP) at 1:5000 dilution was used as the secondary antibody. Lysate at 35ug. |
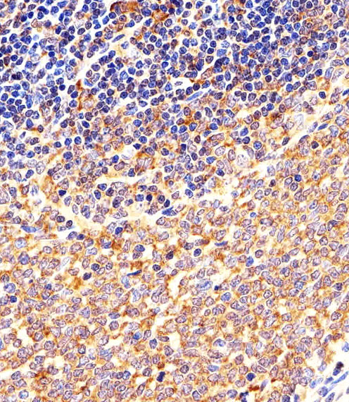
![]() |
Immunohistochemical analysis of paraffin-embedded M.spleen section using Mouse Csk Antibody (N-term)(Cat#P32731). P32731 was diluted at 1:25 dilution. A peroxidase-conjugated goat anti-rabbit IgG at 1:400 dilution was used as the secondary antibody, followed by DAB staining. |
本公司的所有产品仅用于科学研究或者工业应用等非医疗目的,不可用于人类或动物的临床诊断或治疗,非药用,非食用。
暂无评论
本公司的所有产品仅用于科学研究或者工业应用等非医疗目的,不可用于人类或动物的临床诊断或治疗,非药用,非食用。
中文


发表回复