别名:RNA polymerase-associated protein CTR9 homolog, SH2 domain-binding protein 1, Tetratricopeptide repeat-containing, SH2-binding phosphoprotein of 150 kDa, TPR-containing, SH2-binding phosphoprotein of 150 kDa, p150TSP, Ctr9, Kiaa0155, Sh2bp1应用:WB,IHC,ICC,FCM
反应种属:Human, Mouse
规格:50μl/100μl
| Description |
|---|
| Component of the PAF1 complex (PAF1C) which has multiple functions during transcription by RNA polymerase II and is implicated in regulation of development and maintenance of embryonic stem cell pluripotency. PAF1C associates with RNA polymerase II through interaction with POLR2A CTD non- phosphorylated and ‘Ser-2’- and ‘Ser-5’-phosphorylated forms and is involved in transcriptional elongation, acting both indepentently and synergistically with TCEA1 and in cooperation with the DSIF complex and HTATSF1. PAF1C is required for transcription of Hox and Wnt target genes. PAF1C is involved in hematopoiesis and stimulates transcriptional activity of KMT2A/MLL1. PAF1C is involved in histone modifications such as ubiquitination of histone H2B and methylation on histone H3 ‘Lys- 4’ (H3K4me3). PAF1C recruits the RNF20/40 E3 ubiquitin-protein ligase complex and the E2 enzyme UBE2A or UBE2B to chromatin which mediate monoubiquitination of ‘Lys-120′ of histone H2B (H2BK120ub1); UB2A/B-mediated H2B ubiquitination is proposed to be coupled to transcription. PAF1C is involved in mRNA 3’ end formation probably through association with cleavage and poly(A) factors. Required for mono- and trimethylation on histone H3 ‘Lys- 4’ (H3K4me3) and dimethylation on histone H3 ‘Lys-79’ (H3K4me3). Required for Hox gene transcription (By similarity). Required for the trimethylation of histone H3 ‘Lys-4’ (H3K4me3) on genes involved in stem cell pluripotency; this function is synergistic with CXXC1 indicative for an involvement of the SET1 complex. Involved in transcriptional regulation of IL6-responsive genes and in JAK-STAT pathway; may regulate DNA-association of STAT3. |
| Specification | |
|---|---|
| Aliases | RNA polymerase-associated protein CTR9 homolog, SH2 domain-binding protein 1, Tetratricopeptide repeat-containing, SH2-binding phosphoprotein of 150 kDa, TPR-containing, SH2-binding phosphoprotein of 150 kDa, p150TSP, Ctr9, Kiaa0155, Sh2bp1 |
| Entrez GeneID | 22083 |
| Swissprot | Q62018 |
| WB Predicted band size | 133.4kDa |
| Host/Isotype | Rabbit IgG |
| Storage | Store at 4°C short term. Aliquot and store at -20°C long term. Avoid freeze/thaw cycles. |
| Species Reactivity | Human, Mouse |
| Immunogen | This Mouse Ctr9 antibody is generated from a rabbit immunized with a KLH conjugated synthetic peptide between 1022-1056 amino acids from the C-terminal region of Mouse Ctr9. |
| Application | |
|---|---|
| WB | 1/1000 |
| IHC | 1/100-1/500 |
| ICC | 1/25 |
| FCM | 1/25 |
![]() |
Western blot analysis of lysates from Jurkat, HT-29, mouse BA/F3, mouse F9 cell line, mouse cerebellum, mouse testis tissue (from left to right), using Mouse Ctr9 Antibody (C-term)(Cat. #P32916). P32916 was diluted at 1:1000 at each lane. A goat anti-rabbit IgG H&L(HRP) at 1:10000 dilution was used as the secondary antibody. Lysates at 20ug per lane. |
![]() |
Fluorescent image of A431 cells stained with Mouse Ctr9 Antibody (C-term)(Cat#P32916). P32916 was diluted at 1:25 dilution. An Alexa Fluor 488-conjugated goat anti-rabbit lgG at 1:400 dilution was used as the secondary antibody (green). Cytoplasmic actin was counterstained with Alexa Fluor® 555 conjugated with Phalloidin (red). |
![]() |
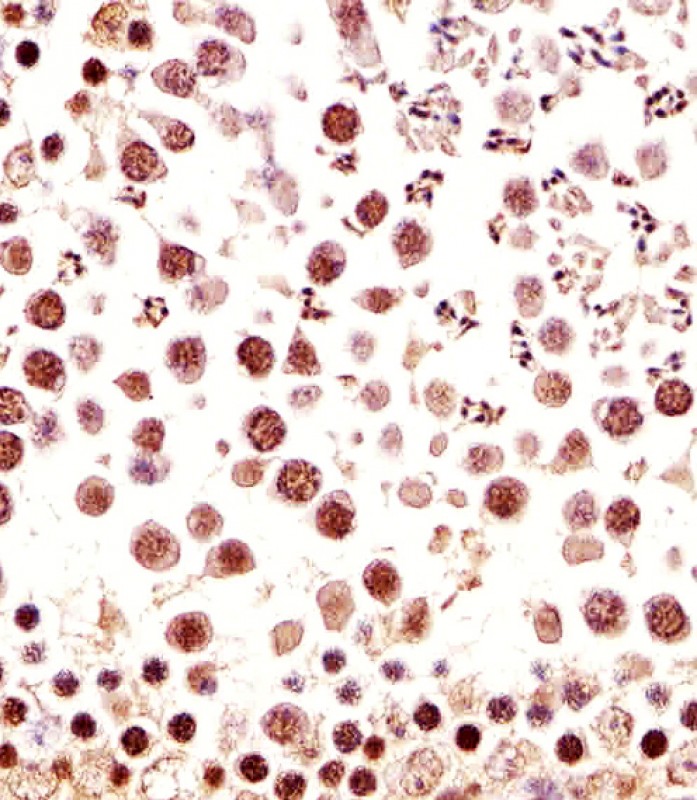
Immunohistochemical analysis of paraffin-embedded M. testis section using Mouse Ctr9 Antibody (C-term)(Cat#P32916). P32916 was diluted at 1:25 dilution. A undiluted biotinylated goat polyvalent antibody was used as the secondary, followed by DAB staining. |
![]() |
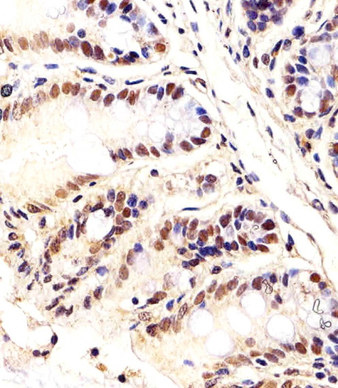
Immunohistochemical analysis of paraffin-embedded M. colon section using Mouse Ctr9 Antibody (C-term)(Cat#P32916). P32916 was diluted at 1:25 dilution. A undiluted biotinylated goat polyvalent antibody was used as the secondary, followed by DAB staining. |
本公司的所有产品仅用于科学研究或者工业应用等非医疗目的,不可用于人类或动物的临床诊断或治疗,非药用,非食用。
暂无评论
本公司的所有产品仅用于科学研究或者工业应用等非医疗目的,不可用于人类或动物的临床诊断或治疗,非药用,非食用。
中文




发表回复