别名:Ephrin type-A receptor 4, Tyrosine-protein kinase receptor MPK-3, Tyrosine-protein kinase receptor SEK-1, Epha4, Sek, Sek1应用:WB,IHC
反应种属:Human, Mouse
规格:50μl/100μl
| Description |
|---|
| Receptor for members of the ephrin-A family. Binds to ephrin-A1, -A4 and -A5. Binds more poorly to ephrin-A2 and -A3. May play a role in a signal transduction process involved in hindbrain pattern formation. |
| Specification | |
|---|---|
| Aliases | Ephrin type-A receptor 4, Tyrosine-protein kinase receptor MPK-3, Tyrosine-protein kinase receptor SEK-1, Epha4, Sek, Sek1 |
| Entrez GeneID | 13838 |
| Swissprot | Q03137 |
| WB Predicted band size | 109.8kDa |
| Host/Isotype | Rabbit IgG |
| Storage | Store at 4°C short term. Aliquot and store at -20°C long term. Avoid freeze/thaw cycles. |
| Species Reactivity | Human, Mouse |
| Immunogen | This Mouse Epha4 antibody is generated from rabbits immunized with a KLH conjugated synthetic peptide between 464-492 amino acids from the Central region of mouse Epha4. |
| Formulation | Purified polyclonal antibody supplied in PBS with 0.05% sodium azide. This antibody is purified through a protein A column, followed by peptide affinity purification. |
| Application | |
|---|---|
| WB | 1/1000 |
| IHC | 1/100-1/500 |
![]() |
Mouse Epha4 Antibody (Center) (Cat. #P31361) western blot analysis in K562 cell line lysates (35ug/lane).This demonstrates the Epha4 antibody detected the Epha4 protein (arrow). |
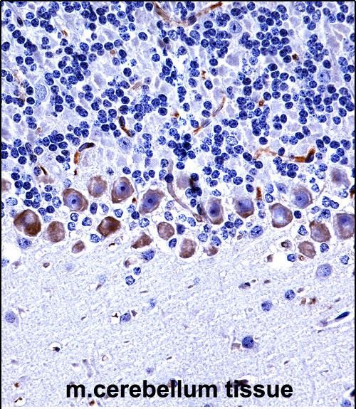
![]() |
Mouse Epha4 Antibody (Center) (P31361)immunohistochemistry analysis in formalin fixed and paraffin embedded mouse cerebellum tissue followed by peroxidase conjugation of the secondary antibody and DAB staining.This data demonstrates the use of Mouse Epha4 Antibody (Center) for immunohistochemistry. Clinical relevance has not been evaluated. |
本公司的所有产品仅用于科学研究或者工业应用等非医疗目的,不可用于人类或动物的临床诊断或治疗,非药用,非食用。
暂无评论
本公司的所有产品仅用于科学研究或者工业应用等非医疗目的,不可用于人类或动物的临床诊断或治疗,非药用,非食用。
中文


发表回复