别名:Megakaryocyte-associated tyrosine-protein kinase, Protein kinase NTK, Tyrosine-protein kinase CTK, Matk, Ctk, Ntk应用:WB,IHC
反应种属:Mouse
规格:50μl/100μl
| Description |
|---|
| Could play a significant role in the signal transduction of hematopoietic cells. May regulate tyrosine kinase activity of SRC-family members in brain by specifically phosphorylating their C-terminal regulatory tyrosine residue which acts as a negative regulatory site. It may play an inhibitory role in the control of T-cell proliferation. |
| Specification | |
|---|---|
| Aliases | Megakaryocyte-associated tyrosine-protein kinase, Protein kinase NTK, Tyrosine-protein kinase CTK, Matk, Ctk, Ntk |
| Entrez GeneID | 17179 |
| Swissprot | P41242 |
| WB Predicted band size | 56.1kDa |
| Host/Isotype | Rabbit IgG |
| Storage | Store at 4°C short term. Aliquot and store at -20°C long term. Avoid freeze/thaw cycles. |
| Species Reactivity | Mouse |
| Immunogen | This Mouse Matk antibody is generated from rabbits immunized with a KLH conjugated synthetic peptide between 477-505 amino acids from the C-terminal region of mouse Matk. |
| Formulation | Purified polyclonal antibody supplied in PBS with 0.05% sodium azide. This antibody is purified through a protein A column, followed by peptide affinity purification. |
| Application | |
|---|---|
| WB | 1/1000 |
| IHC | 1/100-1/500 |
![]() |
Mouse Matk Antibody (C-term) (Cat. #P31430) western blot analysis in mouse spleen tissue lysates (35ug/lane).This demonstrates the Matk antibody detected the Matk protein (arrow). |
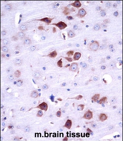
![]() |
Mouse Matk Antibody (C-term) (P31430)immunohistochemistry analysis in formalin fixed and paraffin embedded mouse brain tissue followed by peroxidase conjugation of the secondary antibody and DAB staining.This data demonstrates the use of Mouse Matk Antibody (C-term) for immunohistochemistry. Clinical relevance has not been evaluated. |
本公司的所有产品仅用于科学研究或者工业应用等非医疗目的,不可用于人类或动物的临床诊断或治疗,非药用,非食用。
暂无评论
本公司的所有产品仅用于科学研究或者工业应用等非医疗目的,不可用于人类或动物的临床诊断或治疗,非药用,非食用。
中文


发表回复