别名:Mitogen-activated protein kinase kinase kinase MLK4, Mixed lineage kinase 4, Mlk4, Kiaa1804应用:WB,IHC
反应种属:Human, Mouse
规格:50μl/100μl
| Description |
|---|
| Mlk4 activates the JUN N-terminal pathway (By similarity). |
| Specification | |
|---|---|
| Aliases | Mitogen-activated protein kinase kinase kinase MLK4, Mixed lineage kinase 4, Mlk4, Kiaa1804 |
| Entrez GeneID | 234878 |
| Swissprot | Q8VDG6 |
| WB Predicted band size | 110.1kDa |
| Host/Isotype | Rabbit IgG |
| Storage | Store at 4°C short term. Aliquot and store at -20°C long term. Avoid freeze/thaw cycles. |
| Species Reactivity | Human, Mouse |
| Immunogen | This Mouse Mlk4 antibody is generated from rabbits immunized with a KLH conjugated synthetic peptide between 566-593 amino acids from the Central region of mouse Mlk4. |
| Formulation | Purified polyclonal antibody supplied in PBS with 0.05% sodium azide. This antibody is purified through a protein A column, followed by peptide affinity purification. |
| Application | |
|---|---|
| WB | 1/1000 |
| IHC | 1/100-1/500 |
![]() |
Mouse Mlk4 Antibody (Center) (Cat. #P31409) western blot analysis in mouse heart tissue lysates (35ug/lane).This demonstrates the Mlk4 antibody detected the Mlk4 protein (arrow). |
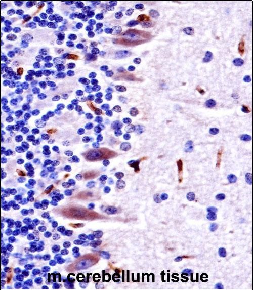
![]() |
Mouse Mlk4 Antibody (Center) (P31409)immunohistochemistry analysis in formalin fixed and paraffin embedded mouse cerebellum tissue followed by peroxidase conjugation of the secondary antibody and DAB staining.This data demonstrates the use of Mouse Mlk4 Antibody (Center) for immunohistochemistry. Clinical relevance has not been evaluated. |
本公司的所有产品仅用于科学研究或者工业应用等非医疗目的,不可用于人类或动物的临床诊断或治疗,非药用,非食用。
暂无评论
本公司的所有产品仅用于科学研究或者工业应用等非医疗目的,不可用于人类或动物的临床诊断或治疗,非药用,非食用。
中文


发表回复