别名:Serine/threonine-protein kinase Nek3, Never in mitosis A-related kinase 3, NimA-related protein kinase 3, Nek3应用:WB,IHC
反应种属:Human, Mouse
规格:50μl/100μl
| Description |
|---|
| Kinase that may play a role in mitotic regulation. |
| Specification | |
|---|---|
| Aliases | Serine/threonine-protein kinase Nek3, Never in mitosis A-related kinase 3, NimA-related protein kinase 3, Nek3 |
| Entrez GeneID | 23954 |
| Swissprot | Q9R0A5 |
| WB Predicted band size | 57.5kDa |
| Host/Isotype | Rabbit IgG |
| Storage | Store at 4°C short term. Aliquot and store at -20°C long term. Avoid freeze/thaw cycles. |
| Species Reactivity | Human, Mouse |
| Immunogen | This Mouse Nek3 antibody is generated from rabbits immunized with a KLH conjugated synthetic peptide between 446-474 amino acids from the C-terminal region of mouse Nek3. |
| Formulation | Purified polyclonal antibody supplied in PBS with 0.05% sodium azide. This antibody is purified through a protein A column, followed by peptide affinity purification. |
| Application | |
|---|---|
| WB | 1/1000 |
| IHC | 1/100-1/500 |
![]() |
Mouse Nek3 Antibody (C-term) (Cat. #P31362) western blot analysis in mouse liver tissue lysates (35ug/lane).This demonstrates the Nek3 antibody detected the Nek3 protein (arrow). |
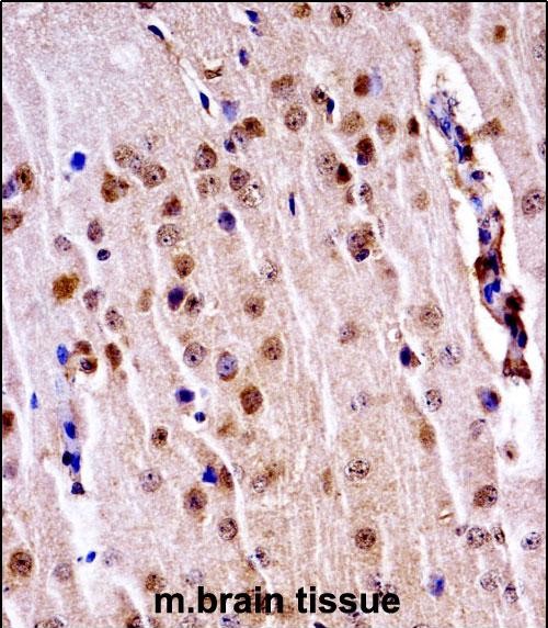
![]() |
Mouse Nek3 Antibody (C-term)immunohistochemistry analysis in formalin fixed and paraffin embedded mouse brain tissue followed by peroxidase conjugation of the secondary antibody and DAB staining.This data demonstrates the use of Mouse Nek3 Antibody (C-term) for immunohistochemistry. Clinical relevance has not been evaluated. |
本公司的所有产品仅用于科学研究或者工业应用等非医疗目的,不可用于人类或动物的临床诊断或治疗,非药用,非食用。
暂无评论
本公司的所有产品仅用于科学研究或者工业应用等非医疗目的,不可用于人类或动物的临床诊断或治疗,非药用,非食用。
中文


发表回复