别名:Serine/threonine-protein kinase PAK 3, Beta-PAK, CDC42/RAC effector kinase PAK-B, p21-activated kinase 3, PAK-3, Pak3, Pak-3, Pakb, Stk4应用:WB,IHC
反应种属:Human, Mouse, Rat
规格:50μl/100μl
| Description |
|---|
| Key regulator of synapse formation and plasticity in the hippocampus. |
| Specification | |
|---|---|
| Aliases | Serine/threonine-protein kinase PAK 3, Beta-PAK, CDC42/RAC effector kinase PAK-B, p21-activated kinase 3, PAK-3, Pak3, Pak-3, Pakb, Stk4 |
| Entrez GeneID | 18481 |
| Swissprot | Q61036 |
| WB Predicted band size | 62.4kDa |
| Host/Isotype | Rabbit IgG |
| Storage | Store at 4°C short term. Aliquot and store at -20°C long term. Avoid freeze/thaw cycles. |
| Species Reactivity | Human, Mouse, Rat |
| Immunogen | This Mouse Pak3 antibody is generated from rabbits immunized with a KLH conjugated synthetic peptide between 124-152 amino acids from the N-terminal region of mouse Pak3. |
| Formulation | Purified polyclonal antibody supplied in PBS with 0.05% sodium azide. This antibody is purified through a protein A column, followed by peptide affinity purification. |
| Application | |
|---|---|
| WB | 1/1000 |
| IHC | 1/100-1/500 |
![]() |
Western blot analysis of lysates from Hela, Jurkat cell line (from left to right), using Mouse Pak3 Antibody (N-term)(Cat. #P32707). P32707 was diluted at 1:1000 at each lane. A goat anti-rabbit IgG H&L(HRP) at 1:5000 dilution was used as the secondary antibody. Lysates at 35ug per lane. |
![]() |
Western blot analysis of lysate from mouse NIH/3T3 cell line, using Mouse Pak3 Antibody (N-term)(Cat. #P32707). P32707 was diluted at 1:1000 at each lane. A goat anti-rabbit IgG H&L(HRP) at 1:5000 dilution was used as the secondary antibody. Lysate at 35ug per lane. |
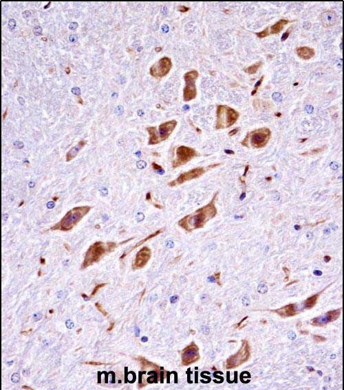
![]() |
Mouse Pak3 Antibody (N-term) (P32707)immunohistochemistry analysis in formalin fixed and paraffin embedded mouse brain tissue followed by peroxidase conjugation of the secondary antibody and DAB staining.This data demonstrates the use of Mouse Pak3 Antibody (N-term) for immunohistochemistry. Clinical relevance has not been evaluated. |
本公司的所有产品仅用于科学研究或者工业应用等非医疗目的,不可用于人类或动物的临床诊断或治疗,非药用,非食用。
暂无评论
本公司的所有产品仅用于科学研究或者工业应用等非医疗目的,不可用于人类或动物的临床诊断或治疗,非药用,非食用。
中文



发表回复