别名:Protein kinase C alpha type, PKC-A, PKC-alpha, Prkca, Pkca应用:WB,IHC,ICC
反应种属:Human, Mouse
规格:50μl/100μl
| Description |
|---|
| This is a calcium-activated, phospholipid-dependent, serine-and threonine-specific enzyme. May play a role in cell motility by phosphorylating CSPG4 (By similarity). PKC is activated by diacylglycerol which in turn phosphorylates a range of cellular proteins. PKC also serves as the receptor for phorbol esters, a class of tumor promoters. |
| Specification | |
|---|---|
| Aliases | Protein kinase C alpha type, PKC-A, PKC-alpha, Prkca, Pkca |
| Entrez GeneID | 18750 |
| Swissprot | P20444 |
| WB Predicted band size | 76.9kDa |
| Host/Isotype | Rabbit IgG |
| Storage | Store at 4°C short term. Aliquot and store at -20°C long term. Avoid freeze/thaw cycles. |
| Species Reactivity | Human, Mouse |
| Immunogen | This Mouse Prkca antibody is generated from rabbits immunized with a KLH conjugated synthetic peptide between 1-30 amino acids from the N-terminal region of mouse Prkca. |
| Formulation | Purified polyclonal antibody supplied in PBS with 0.05% sodium azide. This antibody is purified through a protein A column, followed by peptide affinity purification. |
| Application | |
|---|---|
| WB | 1/1000 |
| IHC | 1/100-1/500 |
| ICC | 1/10-1/50 |
![]() |
Mouse Prkca Antibody (N-term) (Cat. #P31434) western blot analysis in Jurkat cell line lysates (35ug/lane).This demonstrates the Prkca antibody detected the Prkca protein (arrow). |
![]() |
Mouse Prkca Antibody (N-term) (Cat. #P31434) western blot analysis in mouse Neuro-2a cell line lysates (35ug/lane).This demonstrates the Prkca antibody detected the Prkca protein (arrow). |
![]() |
Mouse Prkca Antibody (N-term) (Cat. #P31434) flow cytometric analysis of Neuro-2a cells (right histogram) compared to a negative control cell (left histogram).FITC-conjugated donkey-anti-rabbit secondary antibodies were used for the analysis. |
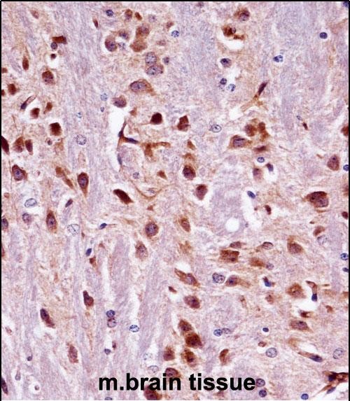
![]() |
Mouse Prkca Antibody (N-term) (P31434)immunohistochemistry analysis in formalin fixed and paraffin embedded mouse brain tissue followed by peroxidase conjugation of the secondary antibody and DAB staining.This data demonstrates the use of Mouse Prkca Antibody (N-term) for immunohistochemistry. Clinical relevance has not been evaluated. |
本公司的所有产品仅用于科学研究或者工业应用等非医疗目的,不可用于人类或动物的临床诊断或治疗,非药用,非食用。
暂无评论
本公司的所有产品仅用于科学研究或者工业应用等非医疗目的,不可用于人类或动物的临床诊断或治疗,非药用,非食用。
中文




发表回复