别名:Tyrosine-protein kinase transmembrane receptor ROR2, mROR2, Neurotrophic tyrosine kinase, receptor-related 2, Ror2应用:WB,IHC
反应种属:Human, Mouse
规格:50μl/100μl
| Description |
|---|
| Tyrosine-protein kinase receptor which may be involved in the early formation of the chondrocytes. It seems to be required for cartilage and growth plate development. Phosphorylates YWHAB, leading to induction of osteogenesis and bone formation (By similarity). |
| Specification | |
|---|---|
| Aliases | Tyrosine-protein kinase transmembrane receptor ROR2, mROR2, Neurotrophic tyrosine kinase, receptor-related 2, Ror2 |
| Swissprot | Q9Z138 |
| WB Predicted band size | 105.0kDa |
| Host/Isotype | Rabbit IgG |
| Storage | Store at 4°C short term. Aliquot and store at -20°C long term. Avoid freeze/thaw cycles. |
| Species Reactivity | Human, Mouse |
| Immunogen | This Mouse Ror2 antibody is generated from a rabbit immunized with a KLH conjugated synthetic peptide between 756-790 amino acids from the C-terminal region of human Mouse Ror2. |
| Application | |
|---|---|
| WB | 1/1000 |
| IHC | 1/100-1/500 |
![]() |
Western blot analysis of lysates from Hela, SH-SY5Y cell line (from left to right), using Mouse Ror2 Antibody (C-term)(Cat. #P32798). P32798 was diluted at 1:1000 at each lane. A goat anti-rabbit IgG H&L(HRP) at 1:10000 dilution was used as the secondary antibody. Lysates at 20ug per lane. |
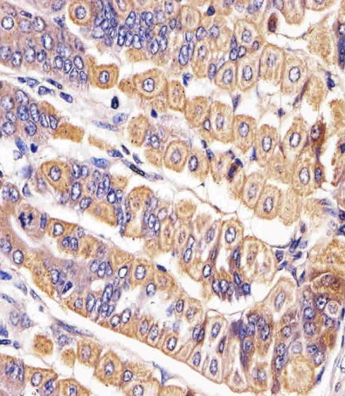
![]() |
Immunohistochemical analysis of paraffin-embedded M. stomach section using Mouse Ror2 Antibody (C-term)(Cat#P32798). P32798 was diluted at 1:25 dilution. A undiluted biotinylated goat polyvalent antibody was used as the secondary, followed by DAB staining. |
本公司的所有产品仅用于科学研究或者工业应用等非医疗目的,不可用于人类或动物的临床诊断或治疗,非药用,非食用。
暂无评论
本公司的所有产品仅用于科学研究或者工业应用等非医疗目的,不可用于人类或动物的临床诊断或治疗,非药用,非食用。
中文


发表回复