别名:Sonic hedgehog protein, SHH, HHG-1, Sonic hedgehog protein N-product, Sonic hedgehog protein 19 kDa product, Sonic hedgehog protein C-product, Sonic hedgehog protein 27 kDa product, Shh, Hhg1应用:WB,IHC
反应种属:Mouse, Rat
规格:50μl/100μl
| Description |
|---|
| Binds to the patched (PTC) receptor, which functions in association with smoothened (SMO), to activate the transcription of target genes. In the absence of SHH, PTC represses the constitutive signaling activity of SMO. Also regulates another target, the gli oncogene. Intercellular signal essential for a variety of patterning events during development: signal produced by the notochord that induces ventral cell fate in the neural tube and somites, and the polarizing signal for patterning of the anterior-posterior axis of the developing limb bud. Displays both floor plate- and motor neuron-inducing activity. The threshold concentration of N-product required for motor neuron induction is 5-fold lower than that required for floor plate induction (By similarity). |
| Specification | |
|---|---|
| Aliases | Sonic hedgehog protein, SHH, HHG-1, Sonic hedgehog protein N-product, Sonic hedgehog protein 19 kDa product, Sonic hedgehog protein C-product, Sonic hedgehog protein 27 kDa product, Shh, Hhg1 |
| Entrez GeneID | 20423 |
| Swissprot | Q62226 |
| WB Predicted band size | 47.8kDa |
| Host/Isotype | Rabbit IgG |
| Storage | Store at 4°C short term. Aliquot and store at -20°C long term. Avoid freeze/thaw cycles. |
| Species Reactivity | Mouse, Rat |
| Immunogen | This (Mouse) Shh antibody is generated from a rabbit immunized with a KLH conjugated synthetic peptide between 397-431 amino acids from the C-terminal region of Mouse Shh. |
| Application | |
|---|---|
| WB | 1/500-1/1000 |
| IHC | 1/100-1/500 |
![]() |
Western blot analysis of lysates from mouse liver, mouse stomach, rat lung tissue lysate (from left to right), using Shh Antibody (C-term)(Cat. #P32815). P32815 was diluted at 1:1000 at each lane. A goat anti-rabbit IgG H&L(HRP) at 1:10000 dilution was used as the secondary antibody. Lysates at 20ug per lane. |
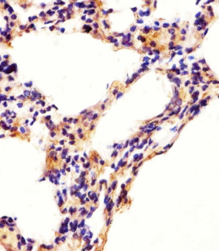
![]() |
Immunohistochemical analysis of paraffin-embedded M. lung section using (Mouse) Shh Antibody (C-term)(Cat#P32815). P32815 was diluted at 1:25 dilution. A undiluted biotinylated goat polyvalent antibody was used as the secondary, followed by DAB staining. |
本公司的所有产品仅用于科学研究或者工业应用等非医疗目的,不可用于人类或动物的临床诊断或治疗,非药用,非食用。
暂无评论
本公司的所有产品仅用于科学研究或者工业应用等非医疗目的,不可用于人类或动物的临床诊断或治疗,非药用,非食用。
中文


发表回复