别名:Toll-like receptor 8, CD288, Tlr8应用:WB,IHC
反应种属:Mouse
规格:50μl/100μl
| Description |
|---|
| TLR8 is a member of the Toll-like receptor (TLR) family which plays a fundamental role in pathogen recognition and activation of innate immunity. TLRs are highly conserved from Drosophila to humans and share structural and functional similarities. They recognize pathogen-associated molecular patterns (PAMPs) that are expressed on infectious agents, and mediate the production of cytokines necessary for the development of effective immunity. The various TLRs exhibit different patterns of expression. TLR8 is predominantly expressed in lung and peripheral blood leukocytes, and lies in close proximity to another family member, TLR7, on chromosome X. |
| Specification | |
|---|---|
| Aliases | Toll-like receptor 8, CD288, Tlr8 |
| Entrez GeneID | 170744 |
| Swissprot | P58682 |
| WB Predicted band size | 119.4kDa |
| Host/Isotype | Rabbit IgG |
| Storage | Store at 4°C short term. Aliquot and store at -20°C long term. Avoid freeze/thaw cycles. |
| Species Reactivity | Mouse |
| Immunogen | This Mouse TLR8 antibody is generated from rabbits immunized with a KLH conjugated synthetic peptide between 957-987 amino acids from the C-terminal region of mouse TLR8. |
| Formulation | Purified polyclonal antibody supplied in PBS with 0.05% sodium azide. This antibody is purified through a protein A column, followed by peptide affinity purification. |
| Application | |
|---|---|
| WB | 1/1000 |
| IHC | 1/100-1/500 |
![]() |
TLR8 Antibody (E972) (Cat. #P31150) western blot analysis in mouse bladder tissue lysates (35ug/lane).This demonstrates the TLR8 antibody detected the TLR8 protein (arrow). |
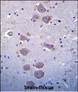
![]() |
Mouse TLR8 Antibody (C-term) (Cat. #P31150)immunohistochemistry analysis in formalin fixed and paraffin embedded human brain tissue followed by peroxidase conjugation of the secondary antibody and DAB staining.This data demonstrates the use of Mouse TLR8 Antibody (C-term) for immunohistochemistry. Clinical relevance has not been evaluated. |
本公司的所有产品仅用于科学研究或者工业应用等非医疗目的,不可用于人类或动物的临床诊断或治疗,非药用,非食用。
暂无评论
本公司的所有产品仅用于科学研究或者工业应用等非医疗目的,不可用于人类或动物的临床诊断或治疗,非药用,非食用。
中文


发表回复