别名:Putative helicase MOV-10, Moloney leukemia virus 10 protein, MOV10, KIAA1631应用:WB,IHC
反应种属:Human, Mouse
规格:50μl/100μl
| Description |
|---|
| Probable RNA helicase. Required for RNA-mediated gene silencing by the RNA-induced silencing complex (RISC). Required for both miRNA-mediated translational repression and miRNA-mediated cleavage of complementary mRNAs by RISC. Also required for RNA-directed transcription and replication of the human hapatitis delta virus (HDV). Interacts with small capped HDV RNAs derived from genomic hairpin structures that mark the initiation sites of RNA-dependent HDV RNA transcription. |
| Specification | |
|---|---|
| Aliases | Putative helicase MOV-10, Moloney leukemia virus 10 protein, MOV10, KIAA1631 |
| Entrez GeneID | 4343 |
| Swissprot | Q9HCE1 |
| WB Predicted band size | 113.7kDa |
| Host/Isotype | Rabbit IgG |
| Storage | Store at 4°C short term. Aliquot and store at -20°C long term. Avoid freeze/thaw cycles. |
| Species Reactivity | Human, Mouse |
| Immunogen | This MOV10 antibody is generated from rabbits immunized with a KLH conjugated synthetic peptide between 260-288 amino acids from the N-terminal region of human MOV10. |
| Formulation | Purified polyclonal antibody supplied in PBS with 0.05% sodium azide. This antibody is purified through a protein A column, followed by peptide affinity purification. |
| Application | |
|---|---|
| WB | 1/1000 |
| IHC | 1/100-1/500 |
![]() |
MOV10 Antibody (N-term) (Cat. #P31560) western blot analysis in human normal Uterus tissue lysates (35ug/lane).This demonstrates the MOV10 antibody detected the MOV10 protein (arrow). |
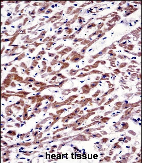
![]() |
MOV10 Antibody (N-term) (P31560)immunohistochemistry analysis in formalin fixed and paraffin embedded human heart tissue followed by peroxidase conjugation of the secondary antibody and DAB staining.This data demonstrates the use of MOV10 Antibody (N-term) for immunohistochemistry. Clinical relevance has not been evaluated. |
本公司的所有产品仅用于科学研究或者工业应用等非医疗目的,不可用于人类或动物的临床诊断或治疗,非药用,非食用。
暂无评论
本公司的所有产品仅用于科学研究或者工业应用等非医疗目的,不可用于人类或动物的临床诊断或治疗,非药用,非食用。
中文


发表回复