别名:MRG1; PEMP; AAG12; EMP55; DXS552E应用:IHC
反应种属:Human, Mouse
规格:50μl/100μl
| Description |
|---|
| This gene encodes the prototype of the membrane-associated guanylate kinase (MAGUK) family proteins. MAGUKs interact with the cytoskeleton and regulate cell proliferation, signaling pathways, and intercellular junctions. The encoded protein is an extensively palmitoylated membrane phosphoprotein containing a PDZ domain, a Src homology 3 (SH3) motif, and a guanylate kinase domain. This gene product interacts with various cytoskeletal proteins and cell junctional proteins in different tissue and cell types, and may be involved in the regulation of cell shape, hair cell development, neural patterning of the retina, and apico-basal polarity and tumor suppression pathways in non-erythroid cells. Multiple transcript variants encoding different isoforms have been found for this gene. |
| Specification | |
|---|---|
| Aliases | MRG1; PEMP; AAG12; EMP55; DXS552E |
| Swissprot | Q00013 |
| Host/Isotype | Rabbit IgG |
| Storage | Store at 4°C short term. Aliquot and store at -20°C long term. Avoid freeze/thaw cycles. |
| Species Reactivity | Human, Mouse |
| Immunogen | Fusion protein of human MPP1 |
| Formulation | pH7.4 PBS, 0.05% NaN3, 40% Glycerol |
| Application | |
|---|---|
| IHC | 1/50-1/300 |
| ELISA | 1/5000-1/10000 |
![]() |
The image is immunohistochemistry of paraffin-embedded Human liver cancer tissue using P03173(MPP1 Antibody) at dilution 1/50. (Original magnification: ×200) |
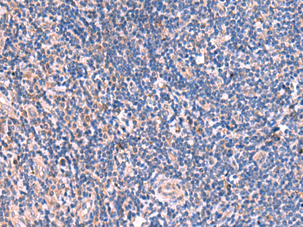
![]() |
The image is immunohistochemistry of paraffin-embedded Human tonsil tissue using P03173(MPP1 Antibody) at dilution 1/50. (Original magnification: ×200) |
本公司的所有产品仅用于科学研究或者工业应用等非医疗目的,不可用于人类或动物的临床诊断或治疗,非药用,非食用。
暂无评论
本公司的所有产品仅用于科学研究或者工业应用等非医疗目的,不可用于人类或动物的临床诊断或治疗,非药用,非食用。
中文


发表回复