别名:VAM1; p55T; PALS2; VAM-1应用:IHC
反应种属:Human, Mouse
规格:50μl/100μl
| Description |
|---|
| Members of the peripheral membrane-associated guanylate kinase (MAGUK) family function in tumor suppression and receptor clustering by forming multiprotein complexes containing distinct sets of transmembrane, cytoskeletal, and cytoplasmic signaling proteins. All MAGUKs contain a PDZ-SH3-GUK core and are divided into 4 subfamilies, DLG-like (see DLG1; MIM 601014), ZO1-like (see TJP1; MIM 601009), p55-like (see MPP1; MIM 305360), and LIN2-like (see CASK; MIM 300172), based on their size and the presence of additional domains. MPP6 is a member of the p55-like MAGUK subfamily (Tseng et al., 2001 [PubMed 11311936]). |
| Specification | |
|---|---|
| Aliases | VAM1; p55T; PALS2; VAM-1 |
| Swissprot | Q9NZW5 |
| Host/Isotype | Rabbit IgG |
| Storage | Store at 4°C short term. Aliquot and store at -20°C long term. Avoid freeze/thaw cycles. |
| Species Reactivity | Human, Mouse |
| Immunogen | Synthetic peptide of human MPP6 |
| Formulation | pH7.4 PBS, 0.05% NaN3, 40% Glycerol |
| Application | |
|---|---|
| IHC | 1/30-1/150 |
| ELISA | 1/2000-1/10000 |
![]() |
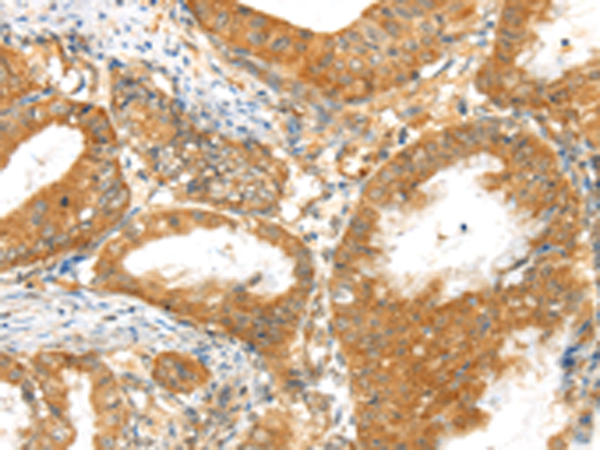
The image is immunohistochemistry of paraffin-embedded Human liver cancer tissue using P05501(MPP6 Antibody) at dilution 1/40. (Original magnification: ×200) |
![]() |
The image is immunohistochemistry of paraffin-embedded Human esophagus cancer tissue using P05501(MPP6 Antibody) at dilution 1/40. (Original magnification: ×200) |
本公司的所有产品仅用于科学研究或者工业应用等非医疗目的,不可用于人类或动物的临床诊断或治疗,非药用,非食用。
暂无评论
本公司的所有产品仅用于科学研究或者工业应用等非医疗目的,不可用于人类或动物的临床诊断或治疗,非药用,非食用。
中文


发表回复