别名:L18mt; HSPC071; MRP-L18应用:WB,IHC
反应种属:Human, Mouse
规格:50μl/100μl
| Description |
|---|
| This nuclear gene encodes a protein component of the larger 39S subunit of mitochondrial ribosome. This protein may also aid in the import of nuclear-encoded 5S rRNA into mitochondria. Alternative splicing results in multiple transcript variants, most of which are not predicted to encode a protein. A pseudogene of this gene is found on chromosome 16. |
| Specification | |
|---|---|
| Aliases | L18mt; HSPC071; MRP-L18 |
| Swissprot | Q9H0U6 |
| WB Predicted band size | 21 kDa |
| Host/Isotype | Rabbit IgG |
| Storage | Store at 4°C short term. Aliquot and store at -20°C long term. Avoid freeze/thaw cycles. |
| Species Reactivity | Human, Mouse |
| Immunogen | Fusion protein of human MRPL18 |
| Formulation | pH7.4 PBS, 0.05% NaN3, 40% Glycerol |
| Application | |
|---|---|
| WB | 1/1000-1/5000 |
| IHC | 1/50-1/200 |
| ELISA | 1/5000-1/10000 |
![]() |
Gel: 12%SDS-PAGE, Lysate: 40 μg, Lane 1-3: HepG2, HT-29, MCF-7 cell lysates, Primary antibody: P02844(MRPL18 Antibody) at dilution 1/1000, Secondary antibody: Goat anti rabbit IgG at 1/5000 dilution, Exposure time: 5 seconds |
![]() |
The image is immunohistochemistry of paraffin-embedded Human liver cancer tissue using P02844(MRPL18 Antibody) at dilution 1/60. (Original magnification: ×200) |
![]() |
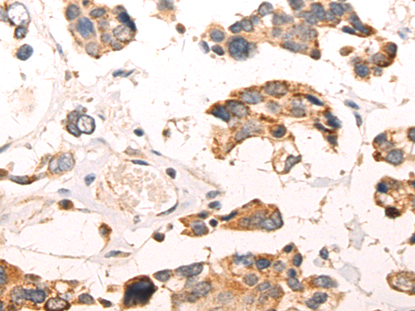
The image is immunohistochemistry of paraffin-embedded Human colorectal cancer tissue using P02844(MRPL18 Antibody) at dilution 1/60. (Original magnification: ×200) |
本公司的所有产品仅用于科学研究或者工业应用等非医疗目的,不可用于人类或动物的临床诊断或治疗,非药用,非食用。
暂无评论
本公司的所有产品仅用于科学研究或者工业应用等非医疗目的,不可用于人类或动物的临床诊断或治疗,非药用,非食用。
中文



发表回复