别名:DESP4; ERG25; SC4MOL应用:IHC
反应种属:Human
规格:50μl/100μl
| Description |
|---|
| Sterol-C4-mehtyl oxidase-like protein was isolated based on its similarity to the yeast ERG25 protein. It contains a set of putative metal binding motifs with similarity to that seen in a family of membrane desaturases-hydroxylases. The protein is localized to the endoplasmic reticulum membrane and is believed to function in cholesterol biosynthesis. Alternatively spliced transcript variants encoding distinct isoforms have been found for this gene. |
| Specification | |
|---|---|
| Aliases | DESP4; ERG25; SC4MOL |
| Swissprot | Q15800 |
| Host/Isotype | Rabbit IgG |
| Storage | Store at 4°C short term. Aliquot and store at -20°C long term. Avoid freeze/thaw cycles. |
| Species Reactivity | Human |
| Immunogen | Synthetic peptide of human MSMO1 |
| Formulation | pH7.4 PBS, 0.05% NaN3, 40% Glycerol |
| Application | |
|---|---|
| IHC | 1/25-1/100 |
| ELISA | 1/1000-1/2000 |
![]() |
The image is immunohistochemistry of paraffin-embedded Human tonsil tissue using P04854(MSMO1 Antibody) at dilution 1/20. (Original magnification: ×200) |
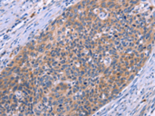
![]() |
The image is immunohistochemistry of paraffin-embedded Human cervical cancer tissue using P04854(MSMO1 Antibody) at dilution 1/20. (Original magnification: ×200) |
本公司的所有产品仅用于科学研究或者工业应用等非医疗目的,不可用于人类或动物的临床诊断或治疗,非药用,非食用。
暂无评论
本公司的所有产品仅用于科学研究或者工业应用等非医疗目的,不可用于人类或动物的临床诊断或治疗,非药用,非食用。
中文


发表回复