别名:MTCYB; CYTB应用:IHC
反应种属:Human
规格:50μl/100μl
| Description |
|---|
| Cytochrome b is a component of the ubiquinol-cytochrome c reductase complex, which is a respiratory chain that generates an electrochemical potential, coupled to ATP synthesis. The principal components of the b-c1 complex are cytochrome b, cytochrome c1, and the rieske protein. Cytochrome b posesses two heme groups, which are not covalently attached to the protein. Mutations in cytochrome b are associated with Leber’s hereditary optic neuropathy and with myopathy. |
| Specification | |
|---|---|
| Aliases | MTCYB; CYTB |
| Swissprot | P00156 |
| Host/Isotype | Rabbit IgG |
| Storage | Store at 4°C short term. Aliquot and store at -20°C long term. Avoid freeze/thaw cycles. |
| Species Reactivity | Human |
| Immunogen | Synthetic peptide of human MT-CYB |
| Formulation | pH7.4 PBS, 0.05% NaN3, 40% Glycerol |
| Application | |
|---|---|
| IHC | 1/50-1/200 |
| ELISA | 1/2000-1/5000 |
![]() |
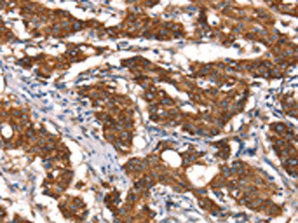
The image is immunohistochemistry of paraffin-embedded Human liver cancer tissue using P11699(MT-CYB Antibody) at dilution 1/50. (Original magnification: ×200) |
![]() |
The image is immunohistochemistry of paraffin-embedded Human gastric cancer tissue using P11699(MT-CYB Antibody) at dilution 1/50. (Original magnification: ×200) |
本公司的所有产品仅用于科学研究或者工业应用等非医疗目的,不可用于人类或动物的临床诊断或治疗,非药用,非食用。
暂无评论
本公司的所有产品仅用于科学研究或者工业应用等非医疗目的,不可用于人类或动物的临床诊断或治疗,非药用,非食用。
中文


发表回复