别名:Mdm2-binding protein, hMTBP, MTBP应用:WB,IHC,FCM
反应种属:Human
规格:50μl/100μl
| Description |
|---|
| MTBP inhibits cell migration in vitro and suppresses the invasive behavior of tumor cells. The protein may play a role in MDM2-dependent TP53/p53 homeostasis in unstressed cells. The protein inhibits autoubiquitination of MDM2, thereby enhancing MDM2 stability. This promotes MDM2-mediated ubiquitination of TP53/p53 and its subsequent degradation. |
| Specification | |
|---|---|
| Aliases | Mdm2-binding protein, hMTBP, MTBP |
| Entrez GeneID | 27085 |
| Swissprot | Q96DY7 |
| WB Predicted band size | 102.2kDa |
| Host/Isotype | Rabbit IgG |
| Storage | Store at 4°C short term. Aliquot and store at -20°C long term. Avoid freeze/thaw cycles. |
| Species Reactivity | Human |
| Immunogen | This MTBP antibody is generated from rabbits immunized with a KLH conjugated synthetic peptide between 853-881 amino acids from the C-terminal region of human MTBP. |
| Formulation | Purified polyclonal antibody supplied in PBS with 0.05% sodium azide. This antibody is prepared by Saturated Ammonium Sulfate (SAS) precipitation followed by dialysis against PBS. |
| Application | |
|---|---|
| WB | 1/1000 |
| IHC | 1/100-1/500 |
| FCM | 1/10-1/50 |
![]() |
Western blot analysis of MTBP antibody (C-term) (Cat. #P30383) in K562 cell line lysates (35ug/lane). MTBP (arrow) was detected using the purified Pab. |
![]() |
Flow cytometric analysis of K562 cells using MTBP Antibody (C-term)(bottom histogram) compared to a negative control cell (top histogram)FITC-conjugated goat-anti-rabbit secondary antibodies were used for the analysis. |
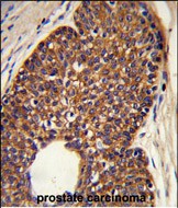
![]() |
Formalin-fixed and paraffin-embedded human prostate carcinoma reacted with MTBP Antibody (C-term), which was peroxidase-conjugated to the secondary antibody, followed by DAB staining. This data demonstrates the use of this antibody for immunohistochemistry; clinical relevance has not been evaluated. |
本公司的所有产品仅用于科学研究或者工业应用等非医疗目的,不可用于人类或动物的临床诊断或治疗,非药用,非食用。
暂无评论
本公司的所有产品仅用于科学研究或者工业应用等非医疗目的,不可用于人类或动物的临床诊断或治疗,非药用,非食用。
中文



发表回复