别名:MT-CO2; COX2; CO2; Cytochrome c oxidase II; MTCO2; COII; COXII应用:WB,IHC,ICC,FCM,IP
反应种属:Human
规格:50μl/100μl
| Description |
|---|
| Cytochrome c oxidase is the component of the respiratory chain that catalyzes the reduction of oxygen to water. Subunits 1-3 form the functional core of the enzyme complex. Subunit 2 transfers the electrons from cytochrome c via its binuclear copper A center to the bimetallic center of the catalytic subunit 1. |
| Specification | |
|---|---|
| Aliases | MT-CO2; COX2; CO2; Cytochrome c oxidase II; MTCO2; COII; COXII |
| Entrez GeneID | 4513 |
| Swissprot | P00403 |
| WB Predicted band size | Calculated MW: 26 kDa; Observed MW: 21 kDa |
| Host/Isotype | Rabbit IgG |
| Storage | Store at 4°C short term. Aliquot and store at -20°C long term. Avoid freeze/thaw cycles. |
| Species Reactivity | Human |
| Immunogen | A synthesized peptide derived from human MTCO2 |
| Formulation | Rabbit IgG in phosphate buffered saline , pH 7.4, 150mM NaCl, 0.02% sodium azide and 50% glycerol. |
| Application | |
|---|---|
| IP | 1/20 |
| WB | 1/500-1/1000 |
| IHC | 1/50-1/100 |
| ICC | 1/50-1/200 |
| FCM | 1/50-1/100 |
![]() |
Western blot analysis of MTCO2 in K562 lysates using MTCO2 antibody. |
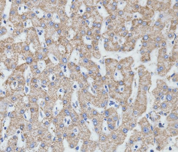
![]() |
Immunohistochemistry analysis of paraffin-embedded Human liver using MTCO2 antibody.High-pressure and temperature Sodium Citrate pH 6.0 was used for antigen retrieval. |
本公司的所有产品仅用于科学研究或者工业应用等非医疗目的,不可用于人类或动物的临床诊断或治疗,非药用,非食用。
暂无评论
本公司的所有产品仅用于科学研究或者工业应用等非医疗目的,不可用于人类或动物的临床诊断或治疗,非药用,非食用。
中文


发表回复