别名:ObgH1; GTPBP5; dJ1005F21.2应用:WB,IHC
反应种属:Human
规格:50μl/100μl
| Description |
|---|
| Small G proteins, such as GTPBP5, act as molecular switches that play crucial roles in the regulation of fundamental cellular processes such as protein synthesis, nuclear transport, membrane trafficking, and signal transduction (Hirano et al., 2006 [PubMed 17054726]). |
| Specification | |
|---|---|
| Aliases | ObgH1; GTPBP5; dJ1005F21.2 |
| Swissprot | Q9H4K7 |
| WB Predicted band size | 44 kDa |
| Host/Isotype | Rabbit IgG |
| Storage | Store at 4°C short term. Aliquot and store at -20°C long term. Avoid freeze/thaw cycles. |
| Species Reactivity | Human |
| Immunogen | Fusion protein of human MTG2 |
| Formulation | pH7.4 PBS, 0.05% NaN3, 40% Glycerol |
| Application | |
|---|---|
| WB | 1/1000-1/5000 |
| IHC | 1/150-1/300 |
| ELISA | 1/5000-1/10000 |
![]() |
Gel: 8%SDS-PAGE, Lysate: 40 μg, Lane 1-2: PC3 and Hela cell lysates, Primary antibody: P03484(MTG2 Antibody) at dilution 1/1000, Secondary antibody: Goat anti rabbit IgG at 1/5000 dilution, Exposure time: 1 minute |
![]() |
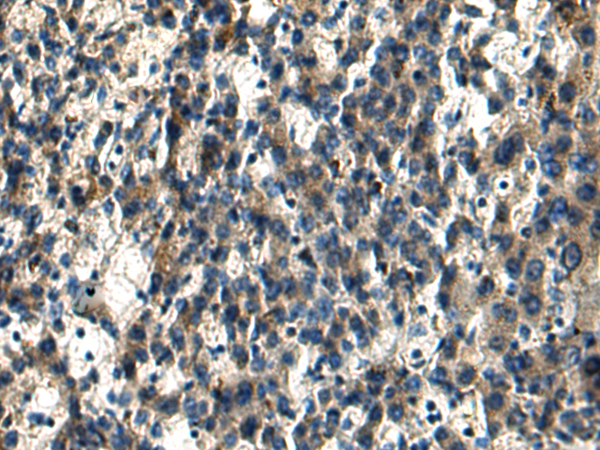
The image is immunohistochemistry of paraffin-embedded Human liver cancer tissue using P03484(MTG2 Antibody) at dilution 1/160. (Original magnification: ×200) |
本公司的所有产品仅用于科学研究或者工业应用等非医疗目的,不可用于人类或动物的临床诊断或治疗,非药用,非食用。
暂无评论
本公司的所有产品仅用于科学研究或者工业应用等非医疗目的,不可用于人类或动物的临床诊断或治疗,非药用,非食用。
中文


发表回复