别名:MUC3, MUC-3A应用:IHC
反应种属:Human
规格:50μl/100μl
| Description |
|---|
| The mucin genes encode epithelial glycoproteins, some of which are secreted and some membrane bound. Each of the genes contains at least one large domain of tandemly repeated sequence that encodes the peptide sequence rich in serine and/or threonine residues, which carries most of the O-linked glycosylation. |
| Specification | |
|---|---|
| Aliases | MUC3, MUC-3A |
| Swissprot | Q02505 |
| Host/Isotype | Rabbit IgG |
| Storage | Store at 4°C short term. Aliquot and store at -20°C long term. Avoid freeze/thaw cycles. |
| Species Reactivity | Human |
| Immunogen | Synthetic peptide of human MUC3A |
| Formulation | pH7.4 PBS, 0.05% NaN3, 40% Glycerol |
| Application | |
|---|---|
| IHC | 1/25-1/100 |
| ELISA | 1/1000-1/5000 |
![]() |
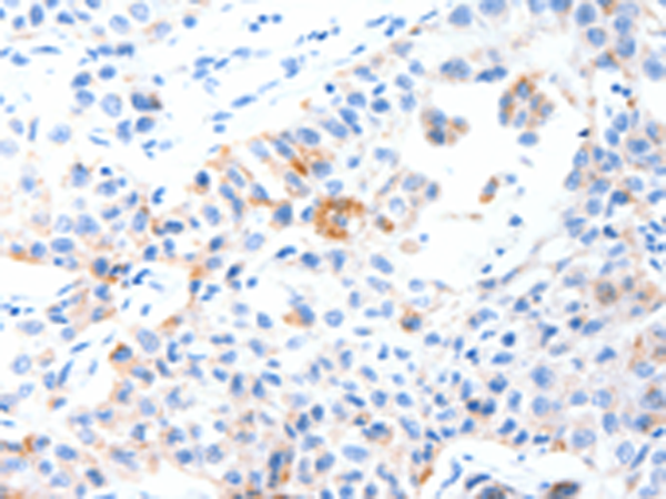
The image is immunohistochemistry of paraffin-embedded Human colon cancer tissue using P04360(MUC3A Antibody) at dilution 1/60. (Original magnification: ×200) |
![]() |
The image is immunohistochemistry of paraffin-embedded Human lung cancer tissue using P04360(MUC3A Antibody) at dilution 1/60. (Original magnification: ×200) |
本公司的所有产品仅用于科学研究或者工业应用等非医疗目的,不可用于人类或动物的临床诊断或治疗,非药用,非食用。
暂无评论
本公司的所有产品仅用于科学研究或者工业应用等非医疗目的,不可用于人类或动物的临床诊断或治疗,非药用,非食用。
中文


发表回复