别名:MG2应用:IHC
反应种属:Human
规格:50μl/100μl
| Description |
|---|
| This gene encodes a small salivary mucin, which is thought to play a role in facilitating the clearance of bacteria in the oral cavity and to aid in mastication, speech, and swallowing. The central domain of this glycoprotein contains tandem repeats, each composed of 23 amino acids. This antimicrobial protein has antibacterial and antifungal activity. The most common allele contains 6 repeats, and some alleles may be associated with susceptibility to asthma. Alternatively spliced transcript variants with different 5′ UTR, but encoding the same protein, have been found for this gene. |
| Specification | |
|---|---|
| Aliases | MG2 |
| Swissprot | Q8TAX7 |
| Host/Isotype | Rabbit IgG |
| Storage | Store at 4°C short term. Aliquot and store at -20°C long term. Avoid freeze/thaw cycles. |
| Species Reactivity | Human |
| Immunogen | Synthetic peptide of human MUC7 |
| Formulation | pH7.4 PBS, 0.05% NaN3, 40% Glycerol |
| Application | |
|---|---|
| IHC | 1/20-1/100 |
| ELISA | 1/2000-1/5000 |
![]() |
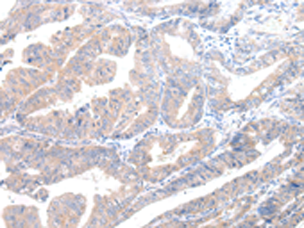
The image is immunohistochemistry of paraffin-embedded Human liver cancer tissue using P05580(MUC7 Antibody) at dilution 1/20. (Original magnification: ×200) |
![]() |
The image is immunohistochemistry of paraffin-embedded Human esophagus cancer tissue using P05580(MUC7 Antibody) at dilution 1/20. (Original magnification: ×200) |
本公司的所有产品仅用于科学研究或者工业应用等非医疗目的,不可用于人类或动物的临床诊断或治疗,非药用,非食用。
暂无评论
本公司的所有产品仅用于科学研究或者工业应用等非医疗目的,不可用于人类或动物的临床诊断或治疗,非药用,非食用。
中文


发表回复