别名:Biogenesis of lysosome-related organelles complex 1 subunit 5, BLOC-1 subunit 5, Protein Muted homolog, BLOC1S5, MUTED应用:WB,IHC
反应种属:Human, Mouse
规格:50μl/100μl
| Description |
|---|
| This gene encodes a component of BLOC-1 (biogenesis of lysosome-related organelles complex 1). Components of this complex are involved in the biogenesis of organelles such as melanosomes and platelet-dense granules. A mouse model for Hermansky-Pudlak Syndrome is mutated in the murine version of this gene. Alternative splicing results in multiple transcript variants. Read-through transcription exists between this gene and the upstream EEF1E1 (eukaryotic translation elongation factor 1 epsilon 1) gene, as well as with the downstream TXNDC5 (thioredoxin domain containing 5) gene. |
| Specification | |
|---|---|
| Aliases | Biogenesis of lysosome-related organelles complex 1 subunit 5, BLOC-1 subunit 5, Protein Muted homolog, BLOC1S5, MUTED |
| Entrez GeneID | 63915 |
| Swissprot | Q8TDH9 |
| WB Predicted band size | 21.6kDa |
| Host/Isotype | Rabbit IgG |
| Storage | Store at 4°C short term. Aliquot and store at -20°C long term. Avoid freeze/thaw cycles. |
| Species Reactivity | Human, Mouse |
| Immunogen | This MUTED antibody is generated from rabbits immunized with a KLH conjugated synthetic peptide between 40-68 amino acids from the Central region of human MUTED. |
| Formulation | Purified polyclonal antibody supplied in PBS with 0.05% sodium azide. This antibody is purified through a protein A column, followed by peptide affinity purification. |
| Application | |
|---|---|
| WB | 1/1000 |
| IHC | 1/100-1/500 |
![]() |
MUTED Antibody (Center) (Cat. #P30731) western blot analysis in MDA-MB435 cell line lysates (15ug/lane).This demonstrates the MUTED antibody detected MUTED protein (arrow). |
![]() |
MUTED Antibody (Center) (Cat. #P30731) western blot analysis in mouse bladder tissue lysates (15ug/lane).This demonstrates the MUTED antibody detected MUTED protein (arrow). |
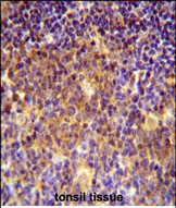
![]() |
MUTED Antibody (Center) (Cat. #P30731) immunohistochemistry analysis in formalin fixed and paraffin embedded human tonsil tissue followed by peroxidase conjugation of the secondary antibody and DAB staining. This data demonstrates the use of the MUTED Antibody (Center) for immunohistochemistry. Clinical relevance has not been evaluated. |
本公司的所有产品仅用于科学研究或者工业应用等非医疗目的,不可用于人类或动物的临床诊断或治疗,非药用,非食用。
暂无评论
本公司的所有产品仅用于科学研究或者工业应用等非医疗目的,不可用于人类或动物的临床诊断或治疗,非药用,非食用。
中文



发表回复