别名:MAD4; MST149; MSTP149; bHLHc12应用:IHC
反应种属:Human
规格:50μl/100μl
| Description |
|---|
| This gene is a member of the MAD gene family . The MAD genes encode basic helix-loop-helix-leucine zipper proteins that heterodimerize with MAX protein, forming a transcriptional repression complex. The MAD proteins compete for MAX binding with MYC, which heterodimerizes with MAX forming a transcriptional activation complex. Studies in rodents suggest that the MAD genes are tumor suppressors and contribute to the regulation of cell growth in differentiating tissues. |
| Specification | |
|---|---|
| Aliases | MAD4; MST149; MSTP149; bHLHc12 |
| Swissprot | Q14582 |
| Host/Isotype | Rabbit IgG |
| Storage | Store at 4°C short term. Aliquot and store at -20°C long term. Avoid freeze/thaw cycles. |
| Species Reactivity | Human |
| Immunogen | Synthetic peptide of human MXD4 |
| Formulation | pH7.4 PBS, 0.05% NaN3, 40% Glycerol |
| Application | |
|---|---|
| IHC | 1/50-1/100 |
| ELISA | 1/5000-1/10000 |
![]() |
The image is immunohistochemistry of paraffin-embedded Human tonsil tissue using P13782(MXD4 Antibody) at dilution 1/50. (Original magnification: ×200) |
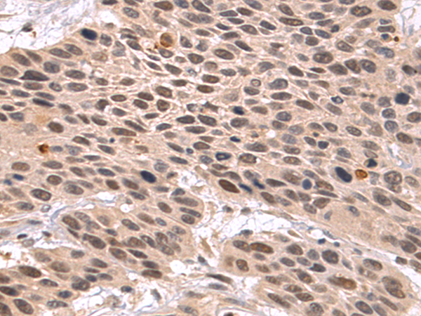
![]() |
The image is immunohistochemistry of paraffin-embedded Human esophagus cancer tissue using P13782(MXD4 Antibody) at dilution 1/50. (Original magnification: ×200) |
本公司的所有产品仅用于科学研究或者工业应用等非医疗目的,不可用于人类或动物的临床诊断或治疗,非药用,非食用。
暂无评论
本公司的所有产品仅用于科学研究或者工业应用等非医疗目的,不可用于人类或动物的临床诊断或治疗,非药用,非食用。
中文


发表回复