别名:IL25; IL27; SF20; IL27w; C19orf10; R33729_1; EUROIMAGE1875335应用:WB,IHC
反应种属:Human, Mouse
规格:50μl/100μl
| Description |
|---|
| The protein encoded by this gene was previously thought to support proliferation of lymphoid cells and was considered an interleukin. However, this activity has not been reproducible and the function of this protein is currently unknown. |
| Specification | |
|---|---|
| Aliases | IL25; IL27; SF20; IL27w; C19orf10; R33729_1; EUROIMAGE1875335 |
| Swissprot | Q969H8 |
| WB Predicted band size | 19 kDa |
| Host/Isotype | Rabbit IgG |
| Storage | Store at 4°C short term. Aliquot and store at -20°C long term. Avoid freeze/thaw cycles. |
| Species Reactivity | Human, Mouse |
| Immunogen | Synthetic peptide of human MYDGF |
| Formulation | pH7.4 PBS, 0.05% NaN3, 40% Glycerol |
| Application | |
|---|---|
| WB | 1/500-1/2000 |
| IHC | 1/30-1/150 |
| ELISA | 1/5000-1/10000 |
![]() |
Gel: 12%SDS-PAGE, Lysate: 40 μg, Lane 1-4: 293T and K562 cell, Human between peritoneal stromal sarcoma tissue, HEPG2 cell lysates, Primary antibody: P06448(MYDGF Antibody) at dilution 1/250, Secondary antibody: Goat anti rabbit IgG at 1/8000 dilution, Exposure time: 6 minutes |
![]() |
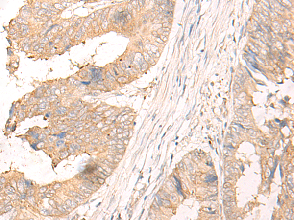
The image is immunohistochemistry of paraffin-embedded Human colorectal cancer tissue using P06448(MYDGF Antibody) at dilution 1/25. (Original magnification: ×200) |
本公司的所有产品仅用于科学研究或者工业应用等非医疗目的,不可用于人类或动物的临床诊断或治疗,非药用,非食用。
暂无评论
本公司的所有产品仅用于科学研究或者工业应用等非医疗目的,不可用于人类或动物的临床诊断或治疗,非药用,非食用。
中文


发表回复