别名:Myosin-14, Myosin heavy chain 14, Myosin heavy chain, non-muscle IIc, Non-muscle myosin heavy chain IIc, NMHC II-C, MYH14, KIAA2034应用:WB,IHC
反应种属:Human
规格:50μl/100μl
| Description |
|---|
| Cellular myosin that appears to play a role in cytokinesis, cell shape, and specialized functions such as secretion and capping (By similarity). |
| Specification | |
|---|---|
| Aliases | Myosin-14, Myosin heavy chain 14, Myosin heavy chain, non-muscle IIc, Non-muscle myosin heavy chain IIc, NMHC II-C, MYH14, KIAA2034 |
| Entrez GeneID | 79784 |
| Swissprot | Q7Z406 |
| WB Predicted band size | 227.9kDa |
| Host/Isotype | Rabbit IgG |
| Storage | Store at 4°C short term. Aliquot and store at -20°C long term. Avoid freeze/thaw cycles. |
| Species Reactivity | Human |
| Immunogen | This MYH14 antibody is generated from a rabbit immunized with a KLH conjugated synthetic peptide between 654-668 amino acids from the Central region of human MYH14. |
| Application | |
|---|---|
| WB | 1/1000 |
| IHC | 1/100-1/500 |
![]() |
Western blot analysis of lysate from A431 cell line, using MYH14 Antibody (Center)(Cat. #P32605). P32605 was diluted at 1:1000. A goat anti-rabbit IgG H&L(HRP) at 1:5000 dilution was used as the secondary antibody. Lysate at 35ug. |
![]() |
Immunohistochemical analysis of paraffin-embedded M.brain section using MYH14 Antibody (Center)(Cat#P32605). P32605 was diluted at 1:25 dilution. A peroxidase-conjugated goat anti-rabbit IgG at 1:400 dilution was used as the secondary antibody, followed by DAB staining. |
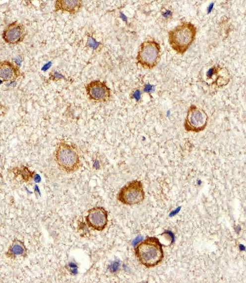
![]() |
Immunohistochemical analysis of paraffin-embedded H.brain section using MYH14 Antibody (Center)(Cat#P32605). P32605 was diluted at 1:25 dilution. A peroxidase-conjugated goat anti-rabbit IgG at 1:400 dilution was used as the secondary antibody, followed by DAB staining. |
本公司的所有产品仅用于科学研究或者工业应用等非医疗目的,不可用于人类或动物的临床诊断或治疗,非药用,非食用。
暂无评论
本公司的所有产品仅用于科学研究或者工业应用等非医疗目的,不可用于人类或动物的临床诊断或治疗,非药用,非食用。
中文



发表回复