别名:MIR; IDOL应用:WB,IHC
反应种属:Human, Mouse, Rat
规格:50μl/100μl
| Description |
|---|
| The ERM protein family members ezrin, radixin, and moesin are cytoskeletal effector proteins linking actin to membrane-bound proteins at the cell surface. Myosin regulatory light chain interacting protein (MYLIP) is a novel ERM-like protein that interacts with myosin regulatory light chain and inhibits neurite outgrowth. |
| Specification | |
|---|---|
| Aliases | MIR; IDOL |
| Swissprot | Q8WY64 |
| WB Predicted band size | 50 kDa |
| Host/Isotype | Rabbit IgG |
| Storage | Store at 4°C short term. Aliquot and store at -20°C long term. Avoid freeze/thaw cycles. |
| Species Reactivity | Human, Mouse, Rat |
| Immunogen | Fusion protein of human MYLIP |
| Formulation | pH7.4 PBS, 0.05% NaN3, 40% Glycerol |
| Application | |
|---|---|
| WB | 1/1000-1/5000 |
| IHC | 1/150-1/300 |
| ELISA | 1/5000-1/10000 |
![]() |
Gel: 8%SDS-PAGE, Lysate: 40 μg, Lane: Mouse heart tissue lysate, Primary antibody: P03442(MYLIP Antibody) at dilution 1/1000, Secondary antibody: Goat anti rabbit IgG at 1/5000 dilution, Exposure time: 2 minutes |
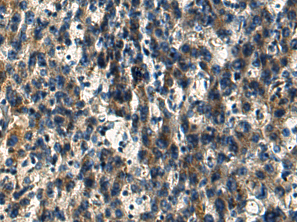
![]() |
The image is immunohistochemistry of paraffin-embedded Human liver cancer tissue using P03442(MYLIP Antibody) at dilution 1/150. (Original magnification: ×200) |
本公司的所有产品仅用于科学研究或者工业应用等非医疗目的,不可用于人类或动物的临床诊断或治疗,非药用,非食用。
暂无评论
本公司的所有产品仅用于科学研究或者工业应用等非医疗目的,不可用于人类或动物的临床诊断或治疗,非药用,非食用。
中文


发表回复