别名:Myosin light chain kinase family member 4, Sugen kinase 85, SgK085, MYLK4, SGK085应用:WB,IHC
反应种属:Human
规格:50μl/100μl
| Specification | |
|---|---|
| Aliases | Myosin light chain kinase family member 4, Sugen kinase 85, SgK085, MYLK4, SGK085 |
| Entrez GeneID | 340156 |
| Swissprot | Q86YV6 |
| WB Predicted band size | 44.5kDa |
| Host/Isotype | Rabbit IgG |
| Storage | Store at 4°C short term. Aliquot and store at -20°C long term. Avoid freeze/thaw cycles. |
| Species Reactivity | Human |
| Immunogen | This MYLK4 antibody is generated from rabbits immunized with a KLH conjugated synthetic peptide between 286-314 amino acids from the C-terminal region of human MYLK4. |
| Formulation | Purified polyclonal antibody supplied in PBS with 0.05% sodium azide. This antibody is purified through a protein A column, followed by peptide affinity purification. |
| Application | |
|---|---|
| WB | 1/1000 |
| IHC | 1/100-1/500 |
![]() |
MYLK4 Antibody (C-term) (Cat. #P30783) western blot analysis in 293 cell line lysates (35ug/lane).This demonstrates the MYLK4 antibody detected the MYLK4 protein (arrow). |
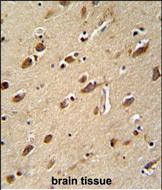
![]() |
MYLK4 antibody (C-term) (Cat. #P30783) immunohistochemistry analysis in formalin fixed and paraffin embedded human brain tissue followed by peroxidase conjugation of the secondary antibody and DAB staining. This data demonstrates the use of the MYLK4 antibody (C-term) for immunohistochemistry. Clinical relevance has not been evaluated. |
本公司的所有产品仅用于科学研究或者工业应用等非医疗目的,不可用于人类或动物的临床诊断或治疗,非药用,非食用。
暂无评论
本公司的所有产品仅用于科学研究或者工业应用等非医疗目的,不可用于人类或动物的临床诊断或治疗,非药用,非食用。
中文


发表回复