别名:Probable asparagine–tRNA ligase, mitochondrial, Asparaginyl-tRNA synthetase, AsnRS, NARS2应用:WB,IHC
反应种属:Human
规格:50μl/100μl
| Description |
|---|
| Asparagine-tRNA ligase (EC 6.1.1.22) catalyzes the chemical reaction:
ATP + L-asparagine + tRNAAsn This enzyme participates in alanine and aspartate metabolism and aminoacyl-tRNA biosynthesis. |
| Specification | |
|---|---|
| Aliases | Probable asparagine–tRNA ligase, mitochondrial, Asparaginyl-tRNA synthetase, AsnRS, NARS2 |
| Entrez GeneID | 79731 |
| Swissprot | Q96I59 |
| WB Predicted band size | 54.1kDa |
| Host/Isotype | Rabbit IgG |
| Storage | Store at 4°C short term. Aliquot and store at -20°C long term. Avoid freeze/thaw cycles. |
| Species Reactivity | Human |
| Immunogen | This NARS2 antibody is generated from rabbits immunized with a KLH conjugated synthetic peptide between 445-474 amino acids from the C-terminal region of human NARS2. |
| Formulation | Purified polyclonal antibody supplied in PBS with 0.05% sodium azide. This antibody is prepared by Saturated Ammonium Sulfate (SAS) precipitation followed by dialysis against PBS. |
| Application | |
|---|---|
| WB | 1/1000 |
| IHC | 1/100-1/500 |
![]() |
Western blot analysis of anti-NARS2 Antibody (C-term) (Cat.#P30280) in Hela cell line lysates (35ug/lane).NARS2(arrow) was detected using the purified Pab. |
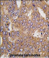
![]() |
Formalin-fixed and paraffin-embedded human prostata carcinoma tissue reacted with NARS2 antibody (C-term) (Cat.#P30280), which was peroxidase-conjugated to the secondary antibody, followed by DAB staining. This data demonstrates the use of this antibody for immunohistochemistry; clinical relevance has not been evaluated. |
本公司的所有产品仅用于科学研究或者工业应用等非医疗目的,不可用于人类或动物的临床诊断或治疗,非药用,非食用。
暂无评论
本公司的所有产品仅用于科学研究或者工业应用等非医疗目的,不可用于人类或动物的临床诊断或治疗,非药用,非食用。
中文


发表回复