别名:N-acetyltransferase 14, 231-, K562 cell-derived leucine-zipper-like protein 1, NAT14, KLP1应用:WB,IHC
反应种属:Human
规格:50μl/100μl
| Specification | |
|---|---|
| Aliases | N-acetyltransferase 14, 231-, K562 cell-derived leucine-zipper-like protein 1, NAT14, KLP1 |
| Entrez GeneID | 57106 |
| Swissprot | Q8WUY8 |
| WB Predicted band size | 21.7kDa |
| Host/Isotype | Rabbit IgG |
| Storage | Store at 4°C short term. Aliquot and store at -20°C long term. Avoid freeze/thaw cycles. |
| Species Reactivity | Human |
| Immunogen | This NAT14 antibody is generated from rabbits immunized with a KLH conjugated synthetic peptide between 5-33 amino acids from the N-terminal region of human NAT14. |
| Formulation | Purified polyclonal antibody supplied in PBS with 0.05% sodium azide. This antibody is purified through a protein A column, followed by peptide affinity purification. |
| Application | |
|---|---|
| WB | 1/1000 |
| IHC | 1/100-1/500 |
![]() |
Western blot analysis of lysate from K562 cell line, using NAT14 Antibody (N-term)(Cat. #P30755). P30755 was diluted at 1:1000 at each lane. A goat anti-rabbit IgG H&L(HRP) at 1:5000 dilution was used as the secondary antibody. Lysate at 35ug per lane. |
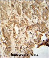
![]() |
NAT14 antibody (N-term) (Cat. #P30755) immunohistochemistry analysis in formalin fixed and paraffin embedded human hepatocarcinoma followed by peroxidase conjugation of the secondary antibody and DAB staining. This data demonstrates the use of the NAT14 antibody (N-term) for immunohistochemistry. Clinical relevance has not been evaluated. |
本公司的所有产品仅用于科学研究或者工业应用等非医疗目的,不可用于人类或动物的临床诊断或治疗,非药用,非食用。
暂无评论
本公司的所有产品仅用于科学研究或者工业应用等非医疗目的,不可用于人类或动物的临床诊断或治疗,非药用,非食用。
中文


发表回复