别名:LY94; CD335; NKP46; NK-p46应用:WB,IHC
反应种属:Human, Mouse
规格:50μl/100μl
| Description |
|---|
| Natural killer (NK) cells mediate MHC nonrestricted cytotoxicity. There are many candidate molecules for NK cell recognition structures, including inhibiting and activating receptors. Using a monoclonal antibody capable of triggering NK-mediated lysis, Sivori et al. (1997) identified a cell surface molecule of 46 kD that they termed p46. The molecule lacks N-linked sugars and is expressed on resting and activated NK cells but not on T cells or B cells. In addition to lytic activity, monoclonal antibody-mediated crosslinking induces intracellular calcium increases and cytokine production. |
| Specification | |
|---|---|
| Aliases | LY94; CD335; NKP46; NK-p46 |
| Swissprot | O76036 |
| WB Predicted band size | 34 kDa |
| Host/Isotype | Rabbit IgG |
| Storage | Store at 4°C short term. Aliquot and store at -20°C long term. Avoid freeze/thaw cycles. |
| Species Reactivity | Human, Mouse |
| Immunogen | Synthetic peptide of human NCR1 |
| Formulation | pH7.4 PBS, 0.05% NaN3, 40% Glycerol |
| Application | |
|---|---|
| WB | 1/500-1/2000 |
| IHC | 1/50-1/100 |
| ELISA | 1/5000-1/10000 |
![]() |
Gel: 8%SDS-PAGE, Lysate: 40 μg, Lane: Mouse lung tissue lysate, Primary antibody: P11636(NCR1 Antibody) at dilution 1/800, Secondary antibody: Goat anti rabbit IgG at 1/5000 dilution, Exposure time: 3 minutes |
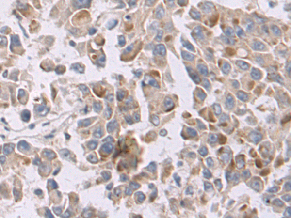
![]() |
The image is immunohistochemistry of paraffin-embedded Human liver cancer tissue using P11636(NCR1 Antibody) at dilution 1/50. (Original magnification: ×200) |
本公司的所有产品仅用于科学研究或者工业应用等非医疗目的,不可用于人类或动物的临床诊断或治疗,非药用,非食用。
暂无评论
本公司的所有产品仅用于科学研究或者工业应用等非医疗目的,不可用于人类或动物的临床诊断或治疗,非药用,非食用。
中文


发表回复