别名:LY95; CD336; NKP44; NK-p44; dJ149M18.1应用:IHC
反应种属:Human
规格:50μl/100μl
| Description |
|---|
| Natural cytotoxicity triggering receptor 2 is a protein that in humans is encoded by the NCR2 gene. NCR2 has also been designated as CD336 (cluster of differentiation 336). NKp44 is a natural cytotoxicity receptor that is is expressed on IL-2-activated human NK cells and may contribute to the increased efficiency of NK cells to mediate tumor cell lysis. NKp44 is composed of one Ig-like extracellular domain, a transmembrane segment, and a cytoplasmic domain. Prolactin up-regulates and cortisol down-regulates the surface expression of NKp44 at the transcriptional level. A cellular ligand for NKp44 (NKp44L) is expressed during HIV-1 infection and is correlated with the progression of CD4+ T cell depletion and an increase of viral load. |
| Specification | |
|---|---|
| Aliases | LY95; CD336; NKP44; NK-p44; dJ149M18.1 |
| Swissprot | O95944 |
| Host/Isotype | Rabbit IgG |
| Storage | Store at 4°C short term. Aliquot and store at -20°C long term. Avoid freeze/thaw cycles. |
| Species Reactivity | Human |
| Immunogen | Synthetic peptide of human NCR2 |
| Formulation | pH7.4 PBS, 0.05% NaN3, 40% Glycerol |
| Application | |
|---|---|
| IHC | 1/50-1/200 |
| ELISA | 1/1000-1/5000 |
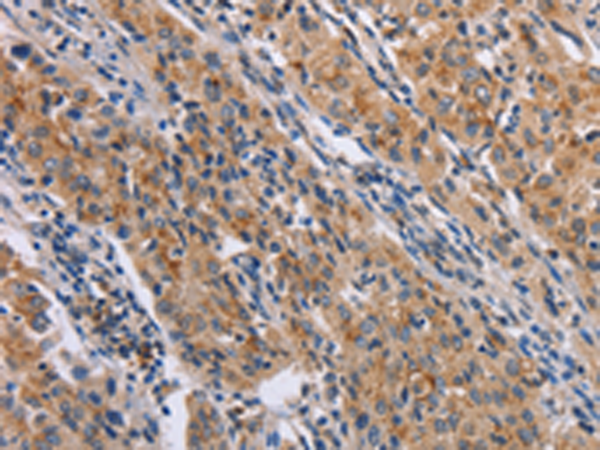
![]() |
The image is immunohistochemistry of paraffin-embedded Human liver cancer tissue using P11637(NCR2 Antibody) at dilution 1/60. (Original magnification: ×200) |
![]() |
The image is immunohistochemistry of paraffin-embedded Human lung cancer tissue using P11637(NCR2 Antibody) at dilution 1/60. (Original magnification: ×200) |
本公司的所有产品仅用于科学研究或者工业应用等非医疗目的,不可用于人类或动物的临床诊断或治疗,非药用,非食用。
暂无评论
本公司的所有产品仅用于科学研究或者工业应用等非医疗目的,不可用于人类或动物的临床诊断或治疗,非药用,非食用。
中文


发表回复