别名:Neuronal calcium sensor 1, NCS-1, Frequenin homolog, Frequenin-like protein, Frequenin-like ubiquitous protein, NCS1, FLUP, FREQ应用:WB,IHC,FCM
反应种属:Human
规格:50μl/100μl
| Description |
|---|
| NCS1 is a member of the neuronal calcium sensor gene family, which encode calcium-binding proteins expressed predominantly in neurons. NCS1 regulates G protein-coupled receptor phosphorylation in a calcium-dependent manner and can substitute for calmodulin. This protein is thought to be associated with secretory granules and may be involved in the regulation of neurosecretion. |
| Specification | |
|---|---|
| Aliases | Neuronal calcium sensor 1, NCS-1, Frequenin homolog, Frequenin-like protein, Frequenin-like ubiquitous protein, NCS1, FLUP, FREQ |
| Entrez GeneID | 23413 |
| Swissprot | P62166 |
| WB Predicted band size | 21.9kDa |
| Host/Isotype | Rabbit IgG |
| Storage | Store at 4°C short term. Aliquot and store at -20°C long term. Avoid freeze/thaw cycles. |
| Species Reactivity | Human |
| Immunogen | This NCS1 antibody is generated from rabbits immunized with a KLH conjugated synthetic peptide between 118-144 amino acids from the Central region of human NCS1. |
| Formulation | Purified polyclonal antibody supplied in PBS with 0.05% sodium azide. This antibody is purified through a protein G column, eluted with high and low pH buffers and neutralized immediately, followed by dialysis against PBS. |
| Application | |
|---|---|
| WB | 1/1000 |
| IHC | 1/100-1/500 |
| FCM | 1/10-1/50 |
![]() |
Western blot analysis of NCS1 Antibody (Center) (Cat.# P30055) in MCF-7 cell line lysates (35ug/lane). NCS1 (arrow) was detected using the purified Pab. |
![]() |
Flow cytometric analysis of ZR-75-1 cells using NCS1 Antibody (Center)(bottom histogram) compared to a negative control cell (top histogram). FITC-conjugated goat-anti-rabbit secondary antibodies were used for the analysis. |
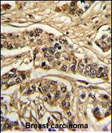
![]() |
Formalin-fixed and paraffin-embedded human breast carcinoma reacted with NCS1 Antibody (Center), which was peroxidase-conjugated to the secondary antibody, followed by DAB staining. This data demonstrates the use of this antibody for immunohistochemistry; clinical relevance has not been evaluated. |
本公司的所有产品仅用于科学研究或者工业应用等非医疗目的,不可用于人类或动物的临床诊断或治疗,非药用,非食用。
暂无评论
本公司的所有产品仅用于科学研究或者工业应用等非医疗目的,不可用于人类或动物的临床诊断或治疗,非药用,非食用。
中文



发表回复