别名:SYLD应用:WB,IHC
反应种属:Human, Mouse, Rat
规格:50μl/100μl
| Description |
|---|
| This gene is a member of the N-myc downregulated gene family which belongs to the alpha/beta hydrolase superfamily. The protein encoded by this gene is a cytoplasmic protein that may play a role in neurite outgrowth. This gene may be involved in glioblastoma carcinogenesis. Alternative splicing results in multiple transcript variants. |
| Specification | |
|---|---|
| Aliases | SYLD |
| Swissprot | Q9UN36 |
| WB Predicted band size | 41 kDa |
| Host/Isotype | Rabbit IgG |
| Storage | Store at 4°C short term. Aliquot and store at -20°C long term. Avoid freeze/thaw cycles. |
| Species Reactivity | Human, Mouse, Rat |
| Immunogen | Synthetic peptide of human NDRG2 |
| Formulation | pH7.4 PBS, 0.05% NaN3, 40% Glycerol |
| Application | |
|---|---|
| WB | 1/1000-1/5000 |
| IHC | 1/50-1/200 |
| ELISA | 1/5000-1/10000 |
![]() |
Gel: 8%SDS-PAGE, Lysate: 40 μg, Lane 1-4: Mouse brain tissue, Mouse heart tissue, HepG2 cell, Mouse fetal brain tissue lysates, Primary antibody: P04369(NDRG2 Antibody) at dilution 1/1350, Secondary antibody: Goat anti rabbit IgG at 1/5000 dilution, Exposure time: 15 seconds |
![]() |
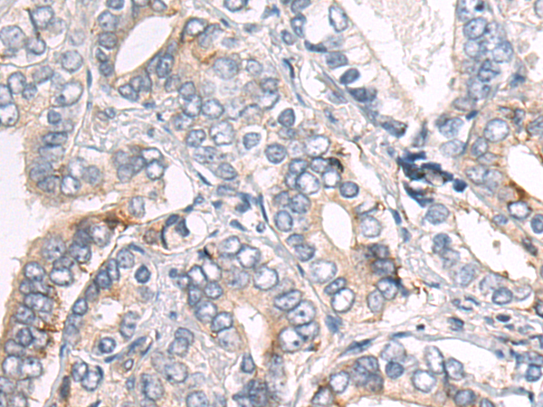
The image is immunohistochemistry of paraffin-embedded Human prostate cancer tissue using P04369(NDRG2 Antibody) at dilution 1/75. (Original magnification: ×200) |
本公司的所有产品仅用于科学研究或者工业应用等非医疗目的,不可用于人类或动物的临床诊断或治疗,非药用,非食用。
暂无评论
本公司的所有产品仅用于科学研究或者工业应用等非医疗目的,不可用于人类或动物的临床诊断或治疗,非药用,非食用。
中文


发表回复