别名:NRK2; STK2; pp12301应用:IHC
反应种属:Human, Mouse
规格:50μl/100μl
| Description |
|---|
| NIMA was originally shown in Aspergillus nidulans to be necessary for entry into mitosis. NIMA-related mammalian proteins have since been identified as Nek1, Nek2, Nek3 and Nek4 (also designated STK2 or NRK2). High expression of Nek1 is seen in male and female germ cell lines of mouse. Nek2 is the closest known mammalian relative to NIMA. Like NIMA, Nek2 expression peaks at the G2 to M phase transition. Nek3 is a predominantly cytoplasmic enzyme that was detectable in all organs studied. Levels of Nek3 seem to remain unchanged throughout the cell cycle, but appear to be elevated in G0-arrested, quiescent fibroblasts. In developing testicular germ cells, differential patterns of expression were seen for Nek1, Nek2 and Nek4, indicating possible overlapping, but non-identical functions. |
| Specification | |
|---|---|
| Aliases | NRK2; STK2; pp12301 |
| Swissprot | P51957 |
| Host/Isotype | Rabbit IgG |
| Storage | Store at 4°C short term. Aliquot and store at -20°C long term. Avoid freeze/thaw cycles. |
| Species Reactivity | Human, Mouse |
| Immunogen | Synthetic peptide of human NEK4 |
| Formulation | pH7.4 PBS, 0.05% NaN3, 40% Glycerol |
| Application | |
|---|---|
| IHC | 1/25-1/100 |
| ELISA | 1/2000-1/5000 |
![]() |
The image is immunohistochemistry of paraffin-embedded Human colon cancer tissue using P04635(NEK4 Antibody) at dilution 1/25. (Original magnification: ×200) |
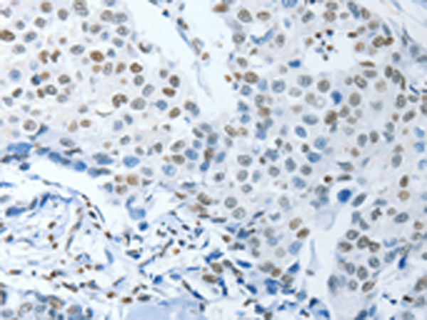
![]() |
The image is immunohistochemistry of paraffin-embedded Human breast cancer tissue using P04635(NEK4 Antibody) at dilution 1/25. (Original magnification: ×200) |
本公司的所有产品仅用于科学研究或者工业应用等非医疗目的,不可用于人类或动物的临床诊断或治疗,非药用,非食用。
暂无评论
本公司的所有产品仅用于科学研究或者工业应用等非医疗目的,不可用于人类或动物的临床诊断或治疗,非药用,非食用。
中文


发表回复