别名:Nek8; NERCC; NERCC1应用:IHC
反应种属:Human, Mouse
规格:50μl/100μl
| Description |
|---|
| NEK9, a NEK type protein kinase, regulates chromosome alignment and segregation in mitosis. The protein has a N-terminal NIMA-like catalytic domain, a central domain with homology to the guanine nucleotide exchange factor for the GTPase Ran (RCC1), and a C-terminal coiled-coil domain. It is phosphorylated by active p34(Cdc2) and is capable of autophosphorylation and oligomerization. |
| Specification | |
|---|---|
| Aliases | Nek8; NERCC; NERCC1 |
| Swissprot | Q8TD19 |
| Host/Isotype | Rabbit IgG |
| Storage | Store at 4°C short term. Aliquot and store at -20°C long term. Avoid freeze/thaw cycles. |
| Species Reactivity | Human, Mouse |
| Immunogen | Synthetic peptide of human NEK9 |
| Formulation | pH7.4 PBS, 0.05% NaN3, 40% Glycerol |
| Application | |
|---|---|
| IHC | 1/25-1/100 |
| ELISA | 1/2000-1/5000 |
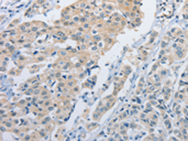
![]() |
The image is immunohistochemistry of paraffin-embedded Human cervical cancer tissue using P11518(NEK9 Antibody) at dilution 1/25. (Original magnification: ×200) |
![]() |
The image is immunohistochemistry of paraffin-embedded Human breast cancer tissue using P11518(NEK9 Antibody) at dilution 1/25. (Original magnification: ×200) |
本公司的所有产品仅用于科学研究或者工业应用等非医疗目的,不可用于人类或动物的临床诊断或治疗,非药用,非食用。
暂无评论
本公司的所有产品仅用于科学研究或者工业应用等非医疗目的,不可用于人类或动物的临床诊断或治疗,非药用,非食用。
中文


发表回复