别名:NRP1; NRP; VEGF165R; Neuropilin-1; Vascular endothelial cell growth factor 165 receptor; CD antigen CD304应用:WB,IHC
反应种属:Human,Mouse,Rat
规格:50μl/100μl
| Description |
|---|
| The membrane-bound isoform 1 is a receptor involved in the development of the cardiovascular system, in angiogenesis, in the formation of certain neuronal circuits and in organogenesis outside the nervous system. It mediates the chemorepulsant activity of semaphorins. It binds to semaphorin 3A, The PLGF-2 isoform of PGF, The VEGF-165 isoform of VEGF and VEGF-B. Coexpression with KDR results in increased VEGF-165 binding to KDR as well as increased chemotaxis. It may regulate VEGF-induced angiogenesis.The soluble isoform 2 binds VEGF-165 and appears to inhibit its binding to cells. |
| Specification | |
|---|---|
| Aliases | NRP1; NRP; VEGF165R; Neuropilin-1; Vascular endothelial cell growth factor 165 receptor; CD antigen CD304 |
| Entrez GeneID | 8829 |
| Swissprot | O14786 |
| WB Predicted band size | Calculated MW: 103 kDa; Observed MW: 100 kDa |
| Host/Isotype | Rabbit IgG |
| Storage | Store at 4°C short term. Aliquot and store at -20°C long term. Avoid freeze/thaw cycles. |
| Species Reactivity | Human,Mouse,Rat |
| Immunogen | The antiserum was produced against synthesized peptide derived from the Internal region of human NRP1. AA range:321-370 |
| Formulation | Liquid in PBS containing 50% glycerol, 0.5% BSA and 0.02% sodium azide, pH 7.3. |
| Application | |
|---|---|
| WB | 1/500-1/1000 |
| IHC | 1/50-1/100 |
| ELISA | 1/10000 |
![]() |
Western blot analysis of Neuropilin 1 in 293 lysates using Neuropilin 1 antibody. |
![]() |
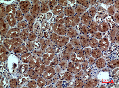
Immunohistochemistry analysis of paraffin-embedded Human kidney using Neuropilin 1 antibody.High-pressure and temperature Sodium Citrate pH 6.0 was used for antigen retrieval. |
![]() |
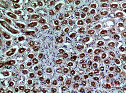
Immunohistochemistry analysis of paraffin-embedded Human kidney using Neuropilin 1 antibody. High-pressure and temperature Sodium Citrate pH 6.0 was used for antigen retrieval. |
本公司的所有产品仅用于科学研究或者工业应用等非医疗目的,不可用于人类或动物的临床诊断或治疗,非药用,非食用。
暂无评论
本公司的所有产品仅用于科学研究或者工业应用等非医疗目的,不可用于人类或动物的临床诊断或治疗,非药用,非食用。
中文



发表回复