别名:NF; NRCAML; NEDCPMD应用:WB,IHC
反应种属:Human, Mouse, Rat
规格:50μl/100μl
| Description |
|---|
| This gene encodes an L1 family immunoglobulin cell adhesion molecule with multiple IGcam and fibronectin domains. The protein functions in neurite outgrowth, neurite fasciculation, and organization of the axon initial segment (AIS) and nodes of Ranvier on axons during early development. Both the AIS and nodes of Ranvier contain high densities of voltage-gated Na+ (Nav) channels which are clustered by interactions with cytoskeletal and scaffolding proteins including this protein, gliomedin, ankyrin 3 (ankyrin-G), and betaIV spectrin. This protein links the AIS extracellular matrix to the intracellular cytoskeleton. This gene undergoes extensive alternative splicing, and the full-length nature of some variants has not been determined. |
| Specification | |
|---|---|
| Aliases | NF; NRCAML; NEDCPMD |
| Swissprot | O94856 |
| WB Predicted band size | 150 kDa |
| Host/Isotype | Rabbit IgG |
| Storage | Store at 4°C short term. Aliquot and store at -20°C long term. Avoid freeze/thaw cycles. |
| Species Reactivity | Human, Mouse, Rat |
| Immunogen | Synthetic peptide of human NFASC |
| Formulation | pH7.4 PBS, 0.05% NaN3, 40% Glycerol |
| Application | |
|---|---|
| WB | 1/500-1/2000 |
| IHC | 1/50-1/100 |
| ELISA | 1/5000-1/10000 |
![]() |
Gel: 6%SDS-PAGE, Lysate: 40 μg, Lane: Human cerebella tissue lysate, Primary antibody: P11066(NFASC Antibody) at dilution 1/400, Secondary antibody: Goat anti rabbit IgG at 1/5000 dilution, Exposure time: 1 minute |
![]() |
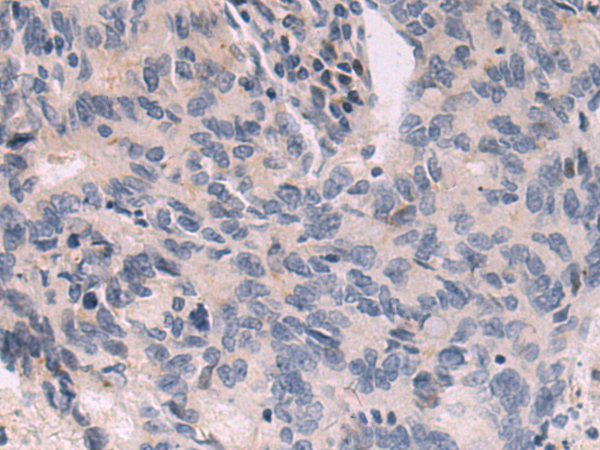
The image is immunohistochemistry of paraffin-embedded Human colorectal cancer tissue using P11066(NFASC Antibody) at dilution 1/50. (Original magnification: ×200) |
本公司的所有产品仅用于科学研究或者工业应用等非医疗目的,不可用于人类或动物的临床诊断或治疗,非药用,非食用。
暂无评论
本公司的所有产品仅用于科学研究或者工业应用等非医疗目的,不可用于人类或动物的临床诊断或治疗,非药用,非食用。
中文


发表回复