别名:NFATC1; NFAT2; NFATC; Nuclear factor of activated T-cells; cytoplasmic 1; NF-ATc1; NFATc1; NFAT transcription complex cytosolic component; NF-ATc; NFATc应用:WB,IHC
反应种属:Human,Mouse
规格:50μl/100μl
| Description |
|---|
| NFAT proteins are predominantly expressed in cells of the immune system, but are also expressed in skeletal muscle, keratinocytes, and adipocytes, regulating cell differentiation programs in these cells. |
| Specification | |
|---|---|
| Aliases | NFATC1; NFAT2; NFATC; Nuclear factor of activated T-cells; cytoplasmic 1; NF-ATc1; NFATc1; NFAT transcription complex cytosolic component; NF-ATc; NFATc |
| Entrez GeneID | 4772 |
| Swissprot | O95644 |
| WB Predicted band size | Calculated MW: 101 kDa; Observed MW: 105 kDa |
| Host/Isotype | Rabbit IgG |
| Storage | Store at 4°C short term. Aliquot and store at -20°C long term. Avoid freeze/thaw cycles. |
| Species Reactivity | Human,Mouse |
| Immunogen | The antiserum was produced against synthesized peptide derived from the C-terminal region of human NFATC1. AA range:881-930 |
| Formulation | Liquid in PBS containing 50% glycerol, 0.5% BSA and 0.02% sodium azide, pH 7.3. |
| Application | |
|---|---|
| WB | 1/500-1/1000 |
| IHC | 1/50-1/100 |
| ELISA | 1/10000 |
![]() |
Western blot analysis of NFAT2 in HuvEc lysates using NFAT2 antibody. |
![]() |
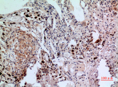
Immunohistochemistry analysis of paraffin-embedded Human lung using NFAT2 antibody.High-pressure and temperature Sodium Citrate pH 6.0 was used for antigen retrieval. |
本公司的所有产品仅用于科学研究或者工业应用等非医疗目的,不可用于人类或动物的临床诊断或治疗,非药用,非食用。
暂无评论
本公司的所有产品仅用于科学研究或者工业应用等非医疗目的,不可用于人类或动物的临床诊断或治疗,非药用,非食用。
中文


发表回复