别名:NFAT3; NF-AT3; NF-ATC4应用:WB,IHC
反应种属:Human, Mouse, Rat
规格:50μl/100μl
| Description |
|---|
| This gene encodes a member of the nuclear factor of activated T cells (NFAT) protein family. The encoded protein is part of a DNA-binding transcription complex. This complex consists of at least two components: a preexisting cytosolic component that translocates to the nucleus upon T cell receptor stimulation and an inducible nuclear component. NFAT proteins are activated by the calmodulin-dependent phosphatase, calcineurin. The encoded protein plays a role in the inducible expression of cytokine genes in T cells, especially in the induction of interleukin-2 and interleukin-4. Alternative splicing results in multiple transcript variants. |
| Specification | |
|---|---|
| Aliases | NFAT3; NF-AT3; NF-ATC4 |
| Swissprot | Q14934 |
| WB Predicted band size | 95 kDa |
| Host/Isotype | Rabbit IgG |
| Storage | Store at 4°C short term. Aliquot and store at -20°C long term. Avoid freeze/thaw cycles. |
| Species Reactivity | Human, Mouse, Rat |
| Immunogen | Synthetic peptide of human NFATC4 |
| Formulation | pH7.4 PBS, 0.05% NaN3, 40% Glycerol |
| Application | |
|---|---|
| WB | 1/500-1/2000 |
| IHC | 1/50-1/200 |
| ELISA | 1/5000-1/10000 |
![]() |
Gel: 8%SDS-PAGE, Lysate: 40 μg, Lane: Hela cell lysate, Primary antibody: P04238(NFATC4 Antibody) at dilution 1/800, Secondary antibody: Goat anti rabbit IgG at 1/5000 dilution, Exposure time: 30 seconds |
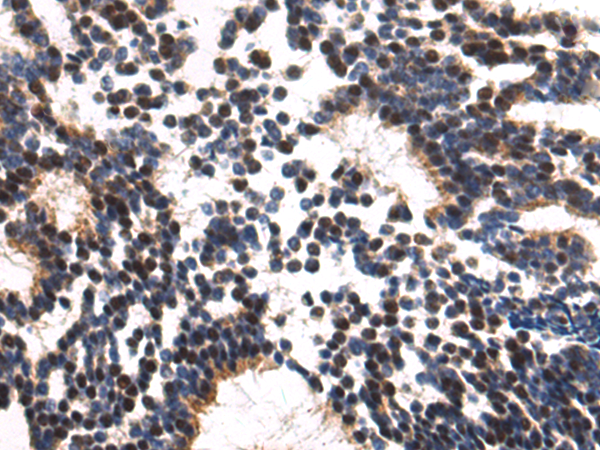
![]() |
The image is immunohistochemistry of paraffin-embedded Human liver cancer tissue using P04238(NFATC4 Antibody) at dilution 1/50. (Original magnification: ×200) |
本公司的所有产品仅用于科学研究或者工业应用等非医疗目的,不可用于人类或动物的临床诊断或治疗,非药用,非食用。
暂无评论
本公司的所有产品仅用于科学研究或者工业应用等非医疗目的,不可用于人类或动物的临床诊断或治疗,非药用,非食用。
中文


发表回复