别名:IKBE应用:WB,IHC
反应种属:Human, Mouse
规格:50μl/100μl
| Description |
|---|
| The protein encoded by this gene binds to components of NF-kappa-B, trapping the complex in the cytoplasm and preventing it from activating genes in the nucleus. Phosphorylation of the encoded protein targets it for destruction by the ubiquitin pathway, which activates NF-kappa-B by making it available to translocate to the nucleus. NFKBIE protein expression is up-regulated following NF-κB activation and during myelopoiesis. NFKBIE is able to inhibit NF-κB-directed transactivation via cytoplasmic retention of REL proteins. NFKB1 or NFKB2 is bound to REL, RELA, or RELB to form the NF-κB transcription factor complex. The NF-κB complex is inhibited by I-kappa-B proteins (NFKBIA or NFKBIB), which inactivate NF-kappa-B by trapping it in the cytoplasm. |
| Specification | |
|---|---|
| Aliases | IKBE |
| Swissprot | O00221 |
| WB Predicted band size | 45 kDa |
| Host/Isotype | Rabbit IgG |
| Storage | Store at 4°C short term. Aliquot and store at -20°C long term. Avoid freeze/thaw cycles. |
| Species Reactivity | Human, Mouse |
| Immunogen | Fusion protein of human NFKBIE |
| Formulation | pH7.4 PBS, 0.05% NaN3, 40% Glycerol |
| Application | |
|---|---|
| WB | 1/200-1/1000 |
| IHC | 1/25-1/100 |
| ELISA | 1/1000-1/2000 |
![]() |
Gel: 12%SDS-PAGE, Lysate: 40 μg, Lane: PC3 cells, Primary antibody: P07030(NFKBIE Antibody) at dilution 1/250, Secondary antibody: Goat anti rabbit IgG at 1/8000 dilution, Exposure time: 30 minutes |
![]() |
The image is immunohistochemistry of paraffin-embedded Human lymphoma tissue using P07030(NFKBIE Antibody) at dilution 1/25. (Original magnification: ×200) |
![]() |
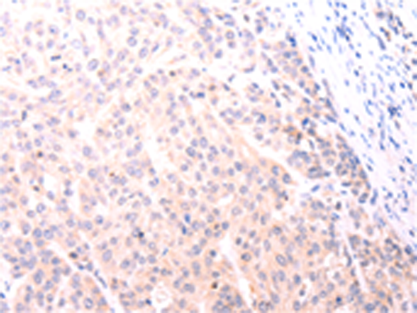
The image is immunohistochemistry of paraffin-embedded Human esophagus cancer tissue using P07030(NFKBIE Antibody) at dilution 1/25. (Original magnification: ×200) |
本公司的所有产品仅用于科学研究或者工业应用等非医疗目的,不可用于人类或动物的临床诊断或治疗,非药用,非食用。
暂无评论
本公司的所有产品仅用于科学研究或者工业应用等非医疗目的,不可用于人类或动物的临床诊断或治疗,非药用,非食用。
中文



发表回复