别名:EPHEXIN; ARHGEF27应用:WB,IHC
反应种属:Human, Mouse, Rat
规格:50μl/100μl
| Description |
|---|
| Acts as a guanine nucleotide exchange factor (GEF) which differentially activates the GTPases RHOA, RAC1 and CDC42. Plays a role in axon guidance regulating ephrin-induced growth cone collapse and dendritic spine morphogenesis. Upon activation by ephrin through EPHA4, the GEF activity switches toward RHOA resulting in its activation. Activated RHOA promotes cone retraction at the expense of RAC1- and CDC42-stimulated growth cone extension (By similarity). |
| Specification | |
|---|---|
| Aliases | EPHEXIN; ARHGEF27 |
| Swissprot | Q8N5V2 |
| WB Predicted band size | 82 kDa |
| Host/Isotype | Rabbit IgG |
| Storage | Store at 4°C short term. Aliquot and store at -20°C long term. Avoid freeze/thaw cycles. |
| Species Reactivity | Human, Mouse, Rat |
| Immunogen | Fusion protein of human NGEF |
| Formulation | pH7.4 PBS, 0.05% NaN3, 40% Glycerol |
| Application | |
|---|---|
| WB | 1/500-1/2000 |
| IHC | 1/30-1/150 |
| ELISA | 1/5000-1/10000 |
![]() |
Gel: 6%SDS-PAGE, Lysate: 40 μg, Lane 1-2: Rat brain tissue and Mouse brain tissue lysates, Primary antibody: P02940(NGEF Antibody) at dilution 1/250, Secondary antibody: Goat anti rabbit IgG at 1/8000 dilution, Exposure time: 20 seconds |
![]() |
The image is immunohistochemistry of paraffin-embedded Human tonsil tissue using P02940(NGEF Antibody) at dilution 1/35. (Original magnification: ×200) |
![]() |
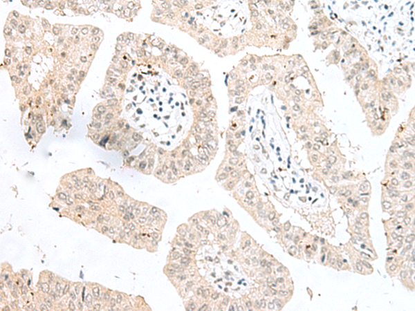
The image is immunohistochemistry of paraffin-embedded Human liver cancer tissue using P02940(NGEF Antibody) at dilution 1/35. (Original magnification: ×200) |
本公司的所有产品仅用于科学研究或者工业应用等非医疗目的,不可用于人类或动物的临床诊断或治疗,非药用,非食用。
暂无评论
本公司的所有产品仅用于科学研究或者工业应用等非医疗目的,不可用于人类或动物的临床诊断或治疗,非药用,非食用。
中文



发表回复