别名:应用:WB,IHC
反应种属:Human, Mouse
规格:50μl/100μl
| Description |
|---|
| Has a omega-amidase activity. The role of omega-amidase is to remove potentially toxic intermediates by converting alpha-ketoglutaramate and alpha-ketosuccinamate to biologically useful alpha-ketoglutarate and oxaloacetate, respectively. Overexpression decreases the colony-forming capacity of cultured cells by arresting cells in the G2 phase of the cell cycle. |
| Specification | |
|---|---|
| Swissprot | Q9NQR4 |
| WB Predicted band size | 31 kDa |
| Host/Isotype | Rabbit IgG |
| Storage | Store at 4°C short term. Aliquot and store at -20°C long term. Avoid freeze/thaw cycles. |
| Species Reactivity | Human, Mouse |
| Immunogen | Synthetic peptide of human NIT2 |
| Formulation | pH7.4 PBS, 0.05% NaN3, 40% Glycerol |
| Application | |
|---|---|
| WB | 1/1000-1/5000 |
| IHC | 1/50-1/200 |
| ELISA | 1/2000-1/10000 |
![]() |
Gel: 10%SDS-PAGE, Lysate: 40 μg, Lane 1-3: Mouse liver tissue, Mouse kidney tissue, RAW264.7 cells, Primary antibody: P11283(NIT2 Antibody) at dilution 1/950, Secondary antibody: Goat anti rabbit IgG at 1/8000 dilution, Exposure time: 90 seconds |
![]() |
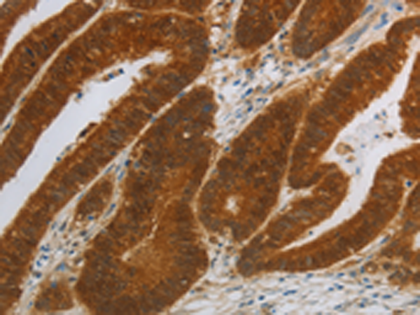
The image is immunohistochemistry of paraffin-embedded Human colon cancer tissue using P11283(NIT2 Antibody) at dilution 1/40. (Original magnification: ×200) |
![]() |
The image is immunohistochemistry of paraffin-embedded Human ovarian cancer tissue using P11283(NIT2 Antibody) at dilution 1/40. (Original magnification: ×200) |
本公司的所有产品仅用于科学研究或者工业应用等非医疗目的,不可用于人类或动物的临床诊断或治疗,非药用,非食用。
暂无评论
本公司的所有产品仅用于科学研究或者工业应用等非医疗目的,不可用于人类或动物的临床诊断或治疗,非药用,非食用。
中文



发表回复