别名:MIBP; NRK2; ITGB1BP3应用:IHC
反应种属:Human
规格:50μl/100μl
| Description |
|---|
| Catalyzes the phosphorylation of nicotinamide riboside (NR) and nicotinic acid riboside (NaR) to form nicotinamide mononucleotide (NMN) and nicotinic acid mononucleotide (NaMN). Reduces laminin matrix deposition and cell adhesion to laminin, but not to fibronectin. Involved in the regulation of PXN at the protein level and of PXN tyrosine phosphorylation. May play a role in the regulation of terminal myogenesis. |
| Specification | |
|---|---|
| Aliases | MIBP; NRK2; ITGB1BP3 |
| Swissprot | Q9NPI5 |
| Host/Isotype | Rabbit IgG |
| Storage | Store at 4°C short term. Aliquot and store at -20°C long term. Avoid freeze/thaw cycles. |
| Species Reactivity | Human |
| Immunogen | Synthetic peptide of human NMRK2 |
| Formulation | pH7.4 PBS, 0.05% NaN3, 40% Glycerol |
| Application | |
|---|---|
| IHC | 1/40-1/150 |
| ELISA | 1/5000-1/10000 |
![]() |
The image is immunohistochemistry of paraffin-embedded Human tonsil tissue using P06771(NMRK2 Antibody) at dilution 1/55. (Original magnification: ×200) |
![]() |
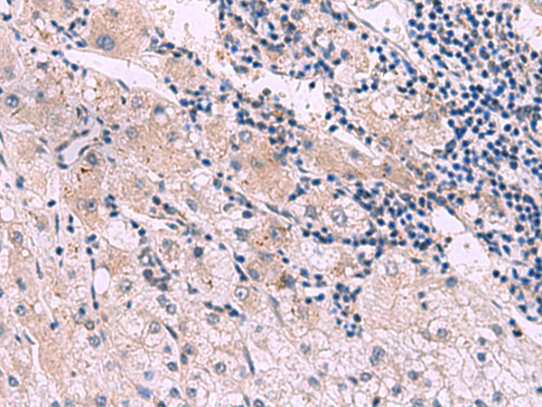
The image is immunohistochemistry of paraffin-embedded Human liver cancer tissue using P06771(NMRK2 Antibody) at dilution 1/55. (Original magnification: ×200) |
本公司的所有产品仅用于科学研究或者工业应用等非医疗目的,不可用于人类或动物的临床诊断或治疗,非药用,非食用。
暂无评论
本公司的所有产品仅用于科学研究或者工业应用等非医疗目的,不可用于人类或动物的临床诊断或治疗,非药用,非食用。
中文


发表回复