别名:Nicotinamide N-methyltransferase, NNMT应用:WB,IHC
反应种属:Human, Mouse
规格:50μl/100μl
| Description |
|---|
| N-methylation is one method by which drug and other xenobiotic compounds are metabolized by the liver. This gene encodes the protein responsible for this enzymatic activity which uses S-adenosyl methionine as the methyl donor. [provided by RefSeq]. |
| Specification | |
|---|---|
| Aliases | Nicotinamide N-methyltransferase, NNMT |
| Entrez GeneID | 4837 |
| Swissprot | P40261 |
| WB Predicted band size | 29.6kDa |
| Host/Isotype | Rabbit IgG |
| Storage | Store at 4°C short term. Aliquot and store at -20°C long term. Avoid freeze/thaw cycles. |
| Species Reactivity | Human, Mouse |
| Immunogen | This NNMT antibody is generated from rabbits immunized with a KLH conjugated synthetic peptide between 101-130 amino acids from the Central region of human NNMT. |
| Formulation | Purified polyclonal antibody supplied in PBS with 0.05% sodium azide. This antibody is purified through a protein A column, followed by peptide affinity purification. |
| Application | |
|---|---|
| WB | 1/1000 |
| IHC | 1/100-1/500 |
![]() |
NNMT Antibody (Center) (Cat. #P31339) western blot analysis in HT29 cell line lysates (35ug/lane).This demonstrates the NNMT antibody detected the NNMT protein (arrow). |
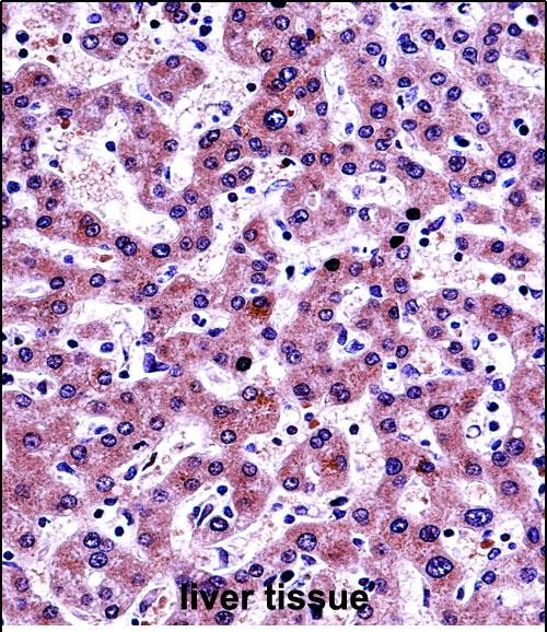
![]() |
NNMT Antibody (Center) (Cat. #P31339)immunohistochemistry analysis in formalin fixed and paraffin embedded human liver tissue followed by peroxidase conjugation of the secondary antibody and DAB staining.This data demonstrates the use of NNMT Antibody (Center) for immunohistochemistry. Clinical relevance has not been evaluated. |
本公司的所有产品仅用于科学研究或者工业应用等非医疗目的,不可用于人类或动物的临床诊断或治疗,非药用,非食用。
暂无评论
本公司的所有产品仅用于科学研究或者工业应用等非医疗目的,不可用于人类或动物的临床诊断或治疗,非药用,非食用。
中文


发表回复