别名:AMDM; ANPb; NPRB; ANPRB; GUC2B; NPRBi; GUCY2B应用:IHC
反应种属:Human,Mouse
规格:50μl/100μl
| Description |
|---|
| This gene encodes natriuretic peptide receptor B, one of two integral membrane receptors for natriuretic peptides. Both NPR1 and NPR2 contain five functional domains: an extracellular ligand-binding domain, a single membrane-spanning region, and intracellularly a protein kinase homology domain, a helical hinge region involved in oligomerization, and a carboxyl-terminal guanylyl cyclase catalytic domain. The protein is the primary receptor for C-type natriuretic peptide (CNP), which upon ligand binding exhibits greatly increased guanylyl cyclase activity. Mutations in this gene are the cause of acromesomelic dysplasia Maroteaux type. |
| Specification | |
|---|---|
| Aliases | AMDM; ANPb; NPRB; ANPRB; GUC2B; NPRBi; GUCY2B |
| Entrez GeneID | 4882; |
| Swissprot | P20594 |
| Storage | Store at 4°C short term. Aliquot and store at -20°C long term. Avoid freeze/thaw cycles. |
| Species Reactivity | Human,Mouse |
| Immunogen | Synthetic peptide corresponding to a region derived from internal residues of human natriuretic peptide receptor 2 |
| Formulation | Rabbit IgG in pH7.4 PBS, 0.05% NaN3, 40% Glycerol. |
| Application | |
|---|---|
| IHC | 1/50-1/200 |
![]() |
Immunohistochemical analysis of paraffin-embedded Human ovarian cancer tissue using P42943 at dilution 1/45. |
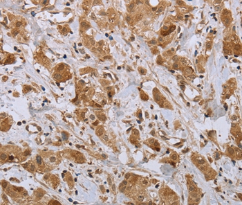
![]() |
Immunohistochemical analysis of paraffin-embedded Human brain cancer tissue using P42943 at dilution 1/45. |
本公司的所有产品仅用于科学研究或者工业应用等非医疗目的,不可用于人类或动物的临床诊断或治疗,非药用,非食用。
暂无评论
本公司的所有产品仅用于科学研究或者工业应用等非医疗目的,不可用于人类或动物的临床诊断或治疗,非药用,非食用。
中文


发表回复