别名:Neuronal pentraxin-1, NP1, Neuronal pentraxin I, NP-I, NPTX1应用:WB,IHC
反应种属:Human, Mouse, Rat
规格:50μl/100μl
| Description |
|---|
| NPTX1 is a member of the neuronal pentraxin family. Human neuronal pentraxin 1 is similar to rat NP1 which is a binding protein for the snake venom toxin taipoxin. |
| Specification | |
|---|---|
| Aliases | Neuronal pentraxin-1, NP1, Neuronal pentraxin I, NP-I, NPTX1 |
| Entrez GeneID | 4884 |
| Swissprot | Q15818 |
| WB Predicted band size | 47.1kDa |
| Host/Isotype | Rabbit IgG |
| Storage | Store at 4°C short term. Aliquot and store at -20°C long term. Avoid freeze/thaw cycles. |
| Species Reactivity | Human, Mouse, Rat |
| Immunogen | This NPTX1 antibody is generated from rabbits immunized with a KLH conjugated synthetic peptide between 322-350 amino acids from human NPTX1. |
| Formulation | Purified polyclonal antibody supplied in PBS with 0.05% sodium azide. This antibody is purified through a protein A column, followed by peptide affinity purification. |
| Application | |
|---|---|
| WB | 1/2000 |
| IHC | 1/100-1/500 |
![]() |
All lanes : Anti-NPTX1Y344 Antibody at 1:2000 dilution Lane 1: human brain lysate Lane 2: mouse brain lysate Lane 3: rat brain lysate Lysates/proteins at 20 µg per lane. Secondary Predicted band size : 47 kDa Blocking/Dilution buffer: 5% NFDM/TBST. |
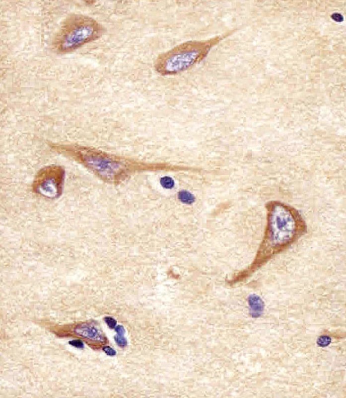
![]() |
P33378 staining NPTX1 in human brain tissue sections by Immunohistochemistry (IHC-P – paraformaldehyde-fixed, paraffin-embedded sections). Tissue was fixed with formaldehyde and blocked with 3% BSA for 0. 5 hour at room temperature; antigen retrieval was by heat mediation with a citrate buffer (pH6). Samples were incubated with primary antibody (1/25) for 1 hours at 37°C. A undiluted biotinylated goat polyvalent antibody was used as the secondary antibody. |
本公司的所有产品仅用于科学研究或者工业应用等非医疗目的,不可用于人类或动物的临床诊断或治疗,非药用,非食用。
暂无评论
本公司的所有产品仅用于科学研究或者工业应用等非医疗目的,不可用于人类或动物的临床诊断或治疗,非药用,非食用。
中文


发表回复