别名:RFRP; C7orf9应用:IHC
反应种属:Human
规格:50μl/100μl
| Description |
|---|
| Neuropeptide RFRP-1 acts as a potent negative regulator of gonadotropin synthesis and secretion. Neuropeptides NPSF and NPVF efficiently inhibit forskolin-induced production of cAMP, but RFRP-2 shows no inhibitory activity. Neuropeptide RFRP-1 induces secretion of prolactin in rats. Neuropeptide NPVF blocks morphine-induced analgesia. |
| Specification | |
|---|---|
| Aliases | RFRP; C7orf9 |
| Swissprot | Q9HCQ7 |
| Host/Isotype | Rabbit IgG |
| Storage | Store at 4°C short term. Aliquot and store at -20°C long term. Avoid freeze/thaw cycles. |
| Species Reactivity | Human |
| Immunogen | Synthetic peptide of human NPVF |
| Formulation | pH7.4 PBS, 0.05% NaN3, 40% Glycerol |
| Application | |
|---|---|
| IHC | 1/50-1/300 |
| ELISA | 1/5000-1/10000 |
![]() |
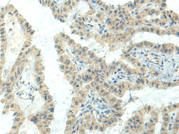
The image is immunohistochemistry of paraffin-embedded Human ovarian cancer tissue using P06514(NPVF Antibody) at dilution 1/80. (Original magnification: ×200) |
![]() |
The image is immunohistochemistry of paraffin-embedded Human thyroid cancer tissue using P06514(NPVF Antibody) at dilution 1/80. (Original magnification: ×200) |
本公司的所有产品仅用于科学研究或者工业应用等非医疗目的,不可用于人类或动物的临床诊断或治疗,非药用,非食用。
暂无评论
本公司的所有产品仅用于科学研究或者工业应用等非医疗目的,不可用于人类或动物的临床诊断或治疗,非药用,非食用。
中文


发表回复