别名:NPYR; NPY1-R应用:WB,IHC
反应种属:Human, Rat
规格:50μl/100μl
| Description |
|---|
| This gene belongs to the G-protein-coupled receptor superfamily. The encoded transmembrane protein mediates the function of neuropeptide Y (NPY), a neurotransmitter, and peptide YY (PYY), a gastrointestinal hormone. The encoded receptor undergoes fast agonist-induced internalization through clathrin-coated pits and is subsequently recycled back to the cell membrane. Activation of Y1 receptors may result in mobilization of intracellular calcium and inhibition of adenylate cyclase activity. |
| Specification | |
|---|---|
| Aliases | NPYR; NPY1-R |
| Swissprot | P25929 |
| WB Predicted band size | 44 kDa |
| Host/Isotype | Rabbit IgG |
| Storage | Store at 4°C short term. Aliquot and store at -20°C long term. Avoid freeze/thaw cycles. |
| Species Reactivity | Human, Rat |
| Immunogen | Synthetic peptide of human NPY1R |
| Formulation | pH7.4 PBS, 0.05% NaN3, 40% Glycerol |
| Application | |
|---|---|
| WB | 1/500-1/2000 |
| IHC | 1/25-1/100 |
| ELISA | 1/5000-1/10000 |
![]() |
Gel: 8%SDS-PAGE, Lysate: 40 μg, Lane: Human fetal brain tissue lysate, Primary antibody: P11291(NPY1R Antibody) at dilution 1/200, Secondary antibody: Goat anti rabbit IgG at 1/8000 dilution, Exposure time: 1 minute |
![]() |
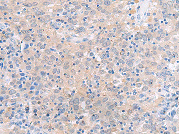
The image is immunohistochemistry of paraffin-embedded Human cervical cancer tissue using P11291(NPY1R Antibody) at dilution 1/20. (Original magnification: ×200) |
![]() |
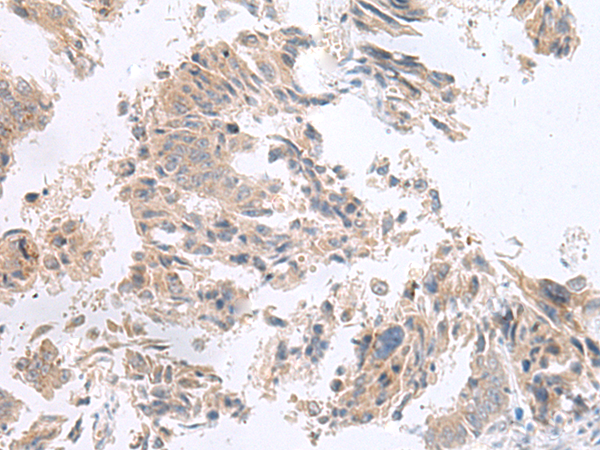
The image is immunohistochemistry of paraffin-embedded Human colorectal cancer tissue using P11291(NPY1R Antibody) at dilution 1/20. (Original magnification: ×200) |
本公司的所有产品仅用于科学研究或者工业应用等非医疗目的,不可用于人类或动物的临床诊断或治疗,非药用,非食用。
暂无评论
本公司的所有产品仅用于科学研究或者工业应用等非医疗目的,不可用于人类或动物的临床诊断或治疗,非药用,非食用。
中文



发表回复