别名:NPY2-R应用:IHC
反应种属:Human, Mouse
规格:50μl/100μl
| Description |
|---|
| Neuropeptide Y receptor type 2 (Y2R) is a protein that in humans is encoded by the NPY2R gene. Receptor for neuropeptide Y and peptide YY. The rank order of affinity of this receptor for pancreatic polypeptides is PYY > NPY > PYY (3-36) > NPY (2-36) > [Ile-31, Gln-34] PP > [Leu-31, Pro-34] NPY > PP, [Pro-34] PYY and NPY free acid. High levels in amygdala, corpus callosum, hippocampus and subthalamic nucleus. Also detectable in caudate nucleus, hypothalamus and substantia nigra. |
| Specification | |
|---|---|
| Aliases | NPY2-R |
| Swissprot | P49146 |
| Host/Isotype | Rabbit IgG |
| Storage | Store at 4°C short term. Aliquot and store at -20°C long term. Avoid freeze/thaw cycles. |
| Species Reactivity | Human, Mouse |
| Immunogen | Synthetic peptide of human NPY2R |
| Formulation | pH7.4 PBS, 0.05% NaN3, 40% Glycerol |
| Application | |
|---|---|
| IHC | 1/15-1/50 |
| ELISA | 1/1000-1/2000 |
![]() |
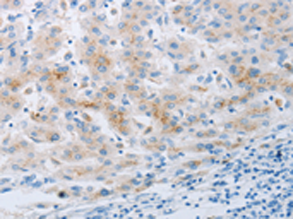
The image is immunohistochemistry of paraffin-embedded Human lung cancer tissue using P04395(NPY2R Antibody) at dilution 1/20. (Original magnification: ×200) |
![]() |
The image is immunohistochemistry of paraffin-embedded Human liver cancer tissue using P04395(NPY2R Antibody) at dilution 1/20. (Original magnification: ×200) |
本公司的所有产品仅用于科学研究或者工业应用等非医疗目的,不可用于人类或动物的临床诊断或治疗,非药用,非食用。
暂无评论
本公司的所有产品仅用于科学研究或者工业应用等非医疗目的,不可用于人类或动物的临床诊断或治疗,非药用,非食用。
中文


发表回复